Стоматолог Шабанова Сабина Шамилевна — цены, отзывы, стаж — Принимает в Белгороде

Шабанова Сабина Шамилевна

Шабанова Сабина Шамилевна - фотография
стоматолог-хирург
пародонтолог
Стаж 2 года
Шабанова Сабина Шамилевна принимает в «Стоматологическая клиника ДЕНТАЛЬ ЭСТЕТИК» в Белгороде. Стаж 2 года. Специализируется на хирургии и пародонтологии, по которым клиника оказывает 13 услуг. Имеет 4 работы до/после в портфолио. Квалификация специалиста подтверждена 13 лицензиями, сертификатами и наградами. Для уточнения дополнительной информации о специалисте или записи на прием можно позвонить по телефону
+7 (472)Показать телефон
.

Где принимает:

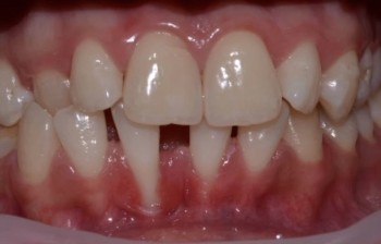
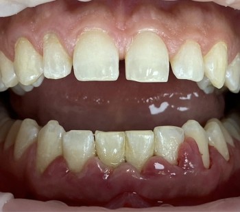
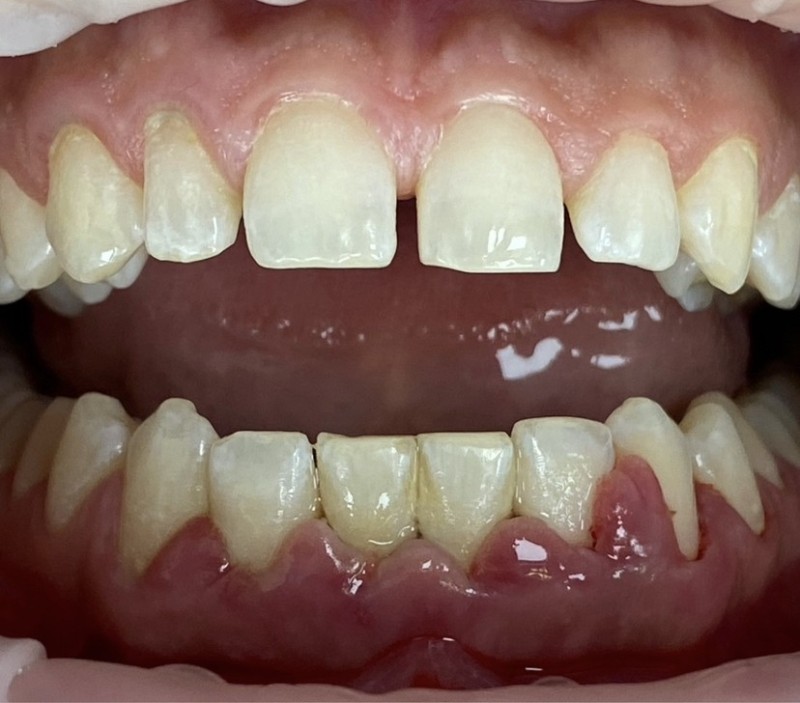
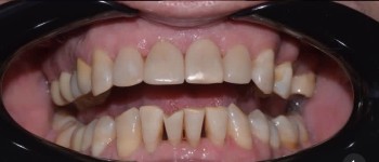
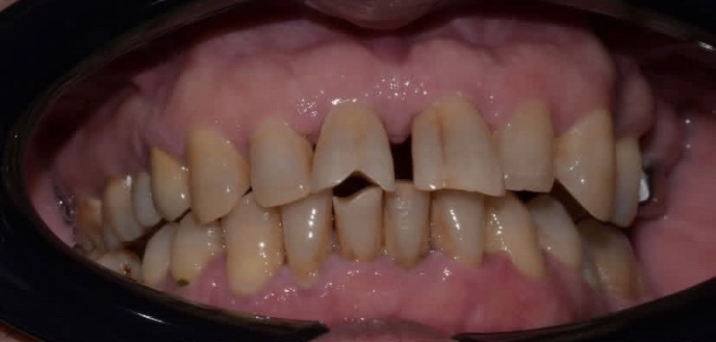
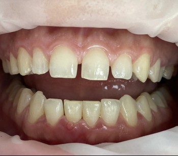
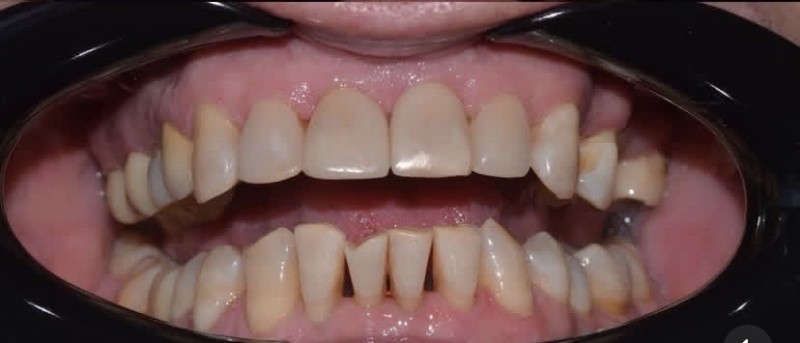
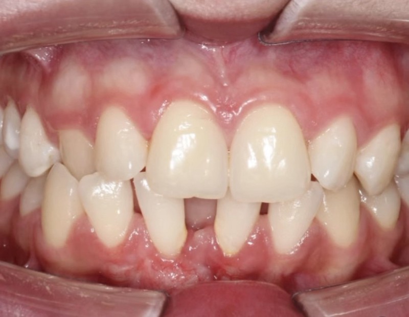
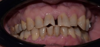
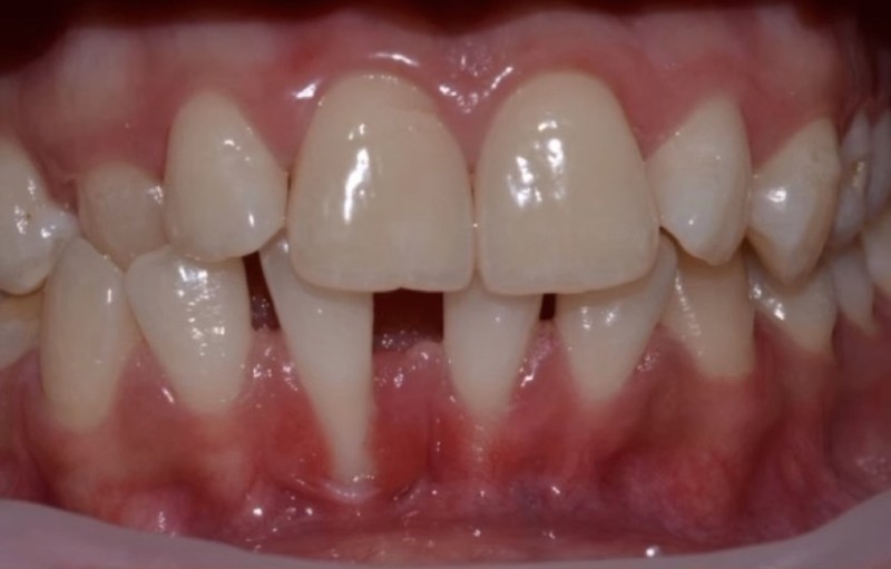
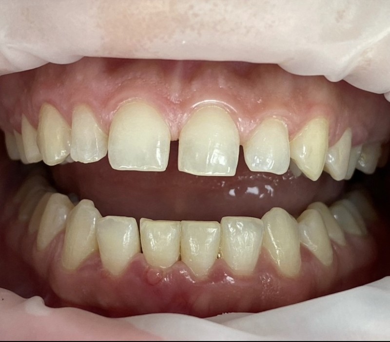
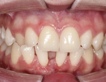
4 работы в портфолио
Опыт 2 года
13 сертификатов

Шабанова Сабина Шамилевна: портфолио (4)

    Помогите другим сделать правильный выбор — оставьте свой отзыв о докторе
    Написать отзыв