Стоматолог Башев Сергей Сергеевич — цены, отзывы, стаж — Принимает в Москве

Башев Сергей Сергеевич

Башев Сергей Сергеевич - фотография
стоматолог-ортодонт
гнатолог
Стаж 10 лет
Башев Сергей Сергеевич принимает в «Стоматологическая клиника ЛА ПЕРЕГРИНА» в Москве. Стаж 10 лет. Специализируется на ортодонтии и гнатологии, по которым клиника оказывает 10 услуг. Имеет 5 работ до/после в портфолио. Квалификация специалиста подтверждена 5 лицензиями, сертификатами и наградами. Для уточнения дополнительной информации о специалисте или записи на прием можно позвонить по телефону
+7 (495)Показать телефон
.

Где принимает:

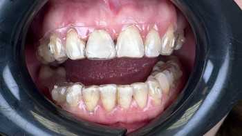
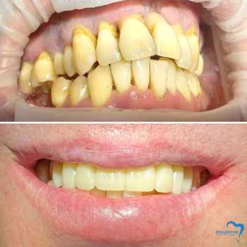
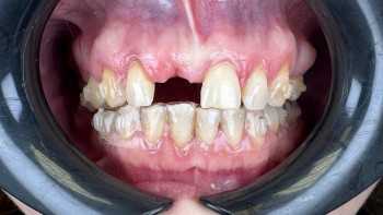
5 работ в портфолио
Опыт 10 лет
5 сертификатов
    Помогите другим сделать правильный выбор — оставьте свой отзыв о докторе
    Написать отзыв

    Услуги врача (19)

    Ортодонтия
    Установка брекетов
    от 39 000 ₽ до 90 000 ₽ за 1 челюсть
    Снятие брекетов
    Установка элайнеров
    от 175 000 ₽ за обе челюсти
    Еще услуги
    Все цены носят ознакомительный характер. Точную цену вы сможете получить только после консультации специалиста.
    Звоните по телефону:
    +7 (495)Показать телефон

    Стоматологические ассоциации

    • Ассоциация молодых стоматологов (АМС)

    Башев Сергей Сергеевич: портфолио (5)

    Акции и скидки клиники ЛА ПЕРЕГРИНА (12)