Стоматолог Носач Николай Николаевич — цены, отзывы, стаж — Принимает в Москве

Носач Николай Николаевич

Носач Николай Николаевич - фотография
стоматолог-хирург
стоматолог-имплантолог
челюстно-лицевой хирург
Стаж 19 лет
врач высшей категории
Носач Николай Николаевич принимает в «Стоматологическая клиника ТРИЛОГИЯ» в Москве. Врач высшей категории, стаж 19 лет. Специализируется на хирургии, имплантологии и челюстно-лицевой хирургии, по которым клиника оказывает 29 услуг. Имеет 4 работы до/после в портфолио. Квалификация специалиста подтверждена 33 лицензиями, сертификатами и наградами. Для уточнения дополнительной информации о специалисте или записи на прием можно позвонить по телефону
+7 (495)Показать телефон
. Занимает 16 место в рейтинге челюстно-лицевых хирургов 32top в вашем городе.

Где принимает:

33 сертификата
Врач высшей категории
Опыт 19 лет
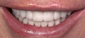
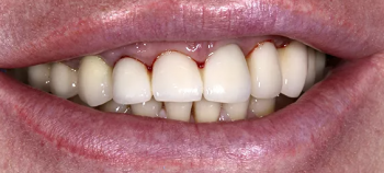
4 работы в портфолио

О стоматологе

Cтоматолог-хирург.

Носач Николай Николаевич: портфолио (4)

Отзывы о враче Носач Николай Николаевич

Почему нашим отзывам можно доверять?
18 ноября 2024 г.
1 2 3 4 5
Замечательный доктор. Доступно объясняет всё на консультации, на все мои вопросы я получила развернутые ответы. Сама процедура имплантации прошла быстро и безболезненно, восстановление быстрое,никакие мои планы не нарушены. Огромная благодарность Николаю Николаевичу за внимательное отношение и профессионализм.
12 декабря 2014 г.
1 2 3 4 5
Пишу отзыв только потому, что не могу не выразить благодарность врачу стоматологу-хируругу Носачу Николаю Николаевичу. Моей 13-летней дочери давно было решено установить брекеты. Перед процедурой был сделан панорамный снимок обеих челюстей. После консультации у хирурга нам рекомендовали удалить зачатки 4-х восьмерок, так как сверху при прорезывании они не поместились бы на челюсти, а внизу были расположены криво и могли повредить 7-е зубы. В течение 3-х месяцев мы и удалили 4-ре зуба по очереди. Я как мама очень переживала как все пройдет, ребенок просто боялся операций и боли. Свою работу Носач Н.Н. выполнил прекрасно. Во время операций ребенку было не больно. Ничего не воспалилось, каждый зуб заживал за неделю. После удаления верхних восьмерок обошлись без антибиотиков. С нижними было сложнее - опухоль больше и больнее проходило заживление, пришлось пить антибиотики. Врач был внимателен – ответил на все вопросы, даже дал свой личный телефон, которым мы и пользовались. Хирург хорошо выполнил свою работу. За что мы ему очень благодарны. Смело могу сказать, что буду рекомендовать его своим знакомым. Прошу не рассматривать мой отзыв как рекламу, пишу отзыв впервые в жизни.
    Помогите другим сделать правильный выбор — оставьте свой отзыв о докторе
    Написать отзыв

    Услуги стоматолога в других клиниках

    Хирургическая стоматология
    Удаление зубов от 1 150 ₽ до 25 000 ₽
    Удаление кисты и гранулемы зуба от 600 ₽ до 48 500 ₽
    Еще услуги