Стоматолог Шашкин Илья Владимирович — цены, отзывы, стаж — Принимает в Москве

Шашкин Илья Владимирович

Шашкин Илья Владимирович - фотография
стоматолог-терапевт
стоматолог-хирург
стоматолог-имплантолог
пародонтолог
Стаж 17 лет
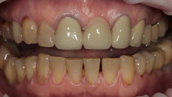
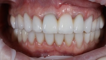
Шашкин Илья Владимирович принимает в «Стоматологическая клиника ИМПЛАНТ КЛИНИК» в Москве. Стаж 17 лет. Специализируется на терапии, хирургии, имплантологии и пародонтологии, по которым клиника оказывает 30 услуг. Имеет 2 работы до/после в портфолио. Для уточнения дополнительной информации о специалисте или записи на прием можно позвонить по телефону
+7 (495)Показать телефон
.

Где принимает:

2 работы в портфолио
Опыт 17 лет

Шашкин Илья Владимирович: портфолио (2)

    Помогите другим сделать правильный выбор — оставьте свой отзыв о докторе
    Написать отзыв

    Услуги стоматолога в других клиниках

    Терапевтическая стоматология
    Лечение кариеса от 3 500 ₽ до 14 500 ₽
    Лечение пульпита от 5 000 ₽ до 35 000 ₽
    Еще услуги
    Пародонтология
    Лечение пародонтита от 170 ₽ до 33 600 ₽
    Лечение пародонтоза от 170 ₽ до 24 800 ₽
    Еще услуги
    Хирургическая стоматология
    Удаление зубов от 1 150 ₽ до 25 000 ₽
    Удаление кисты и гранулемы зуба от 600 ₽ до 48 500 ₽
    Еще услуги