Стоматолог Мичурина (Стукалова) Маргарита Константиновна — цены, отзывы, стаж — Принимает в Москве

Мичурина (Стукалова) Маргарита Константиновна

Мичурина (Стукалова) Маргарита Константиновна - фотография
стоматолог-ортодонт
Стаж 8 лет
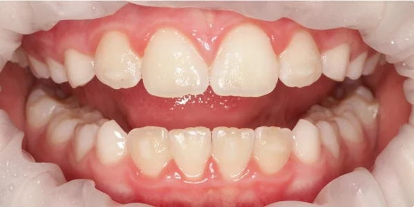
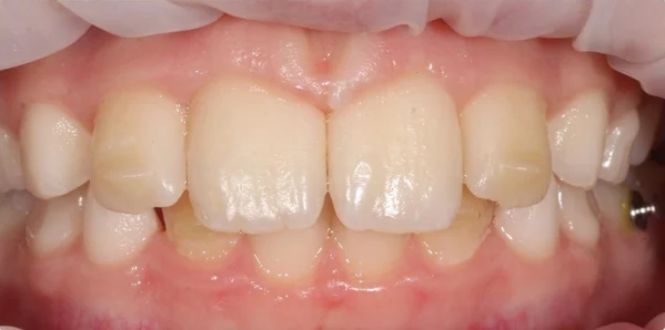
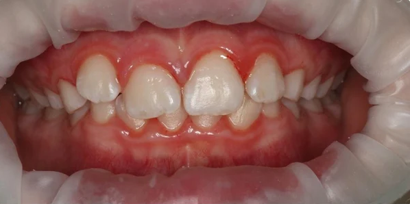
Мичурина (Стукалова) Маргарита Константиновна принимает в «Стоматология ВИТАНИКА» в Москве. Стаж 8 лет. Специализируется на ортодонтии, по которой клиника оказывает 2 услуги. Имеет 3 работы до/после в портфолио. Квалификация специалиста подтверждена 20 лицензиями, сертификатами и наградами. Для уточнения дополнительной информации о специалисте или записи на прием можно позвонить по телефону
+7 (499)Показать телефон
.

Где принимает:

Опыт 8 лет
3 работы в портфолио
20 сертификатов
    Помогите другим сделать правильный выбор — оставьте свой отзыв о докторе
    Написать отзыв

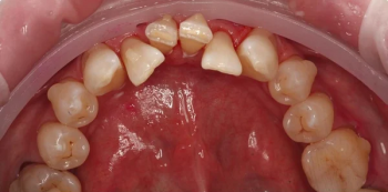
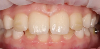
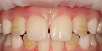
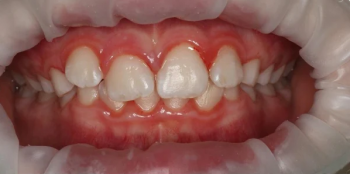
    Мичурина (Стукалова) Маргарита Константиновна: портфолио (3)

    Услуги стоматолога в других клиниках

    Ортодонтия
    Установка брекетов от 10 000 ₽ до 400 000 ₽
    Снятие брекетов от 530 ₽ до 42 000 ₽
    Еще услуги