Стоматолог Пиямов Роман Рустамович — цены, отзывы, стаж — Принимает в Москве

Пиямов Роман Рустамович

Пиямов Роман Рустамович - фотография
стоматолог-ортопед
стоматолог-хирург
стоматолог-имплантолог
челюстно-лицевой хирург
Стаж 17 лет
к.м.н., главный врач
Пиямов Роман Рустамович принимает в «Центр лазерной стоматологии РОКОСКЛИНИК» в Москве. К.м.н., главный врач, стаж 17 лет. Специализируется на ортопедии, хирургии, имплантологии и челюстно-лицевой хирургии, по которым клиника оказывает 42 услуги. Имеет 3 работы до/после в портфолио. Квалификация специалиста подтверждена 19 лицензиями, сертификатами и наградами. Для уточнения дополнительной информации о специалисте или записи на прием можно позвонить по телефону
+7 (499)Показать телефон
.

Где принимает:

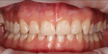
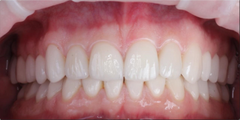
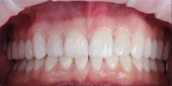
3 работы в портфолио
Опыт 17 лет
Главный врач
Кандидат мед.наук
19 сертификатов

О стоматологе

Основатель Центра лазерной стоматологии и косметологии РОКОСКЛИНИК. Разработчик патента «Способ лечения хронического периодонтита».

Пиямов Роман Рустамович: портфолио (3)

Отзывы о враче Пиямов Роман Рустамович

Почему нашим отзывам можно доверять?
7 декабря 2017 г.
1 2 3 4 5
Лечил зуб лазером в январе 2016 очень доволен,профессионал своего дела.
Пиямов Роман Рустамович
9 ноября 2024 г.
Спасибо за отзыв. Всегда рады видеть вас в нашей клинике
11 августа 2016 г.
1 2 3 4 5
Добираться из Одинцово в Королев мягко скажем далековато, но я не задумываясь планирую свою поездку, когда дело касается зубов, потому что именно в этом городе работает самый лучший врач, настоящий профессионал и эксперт по зубам – Роман Рустамович Пиямов! Лично я подписываюсь под все рекомендации и наставления доктора и никогда не ставлю под сомнение то, что он говорит относительно здоровья зубов. Четко прихожу на все рекомендуемые профилактические осмотры, выполняю все рекомендации по чисткам. Именно поэтому я уже давно не знаю, что проблемы с зубами и тому доказательство моя улыбка! Спасибо, вам Доктор
Пиямов Роман Рустамович
9 ноября 2024 г.
Очень приятно читать от вас отзыв! Всегда ждем вас в гости в РОКОСКЛИНИК
22 апреля 2015 г.
1 2 3 4 5
Чтобы начать ортодонтическое лечение, мне надо было удалить 4 ретинированных зуба мудрости. Очень переживала и долго собиралась с духом. После анализа рентгеновских снимков некоторые хирурги отказывались проводить такое сложное удаление. По совету другого опытного хирурга-стоматолога пришла к Роману. Удаление прошло хорошо. Доктор профессионал своего дела и свою работу любит, это сразу видно. Хороший подход к пациенту, терпеливое и внимательное отношение, четкое и быстрое принятие решений в экстренный момент, что немаловажно для хирурга. Вообщем я очень рада, что попала к этому доктору и все прошло без осложнений. Зубы удаляла в 2 захода по 2 штуки за раз: верхний и нижний с правой стороны, потом с левой. На всё ушло примерно 3 недели. Следовала всем инструкциям в итоге ожидания оправдались.Да и внутренняя обстановка в клинике способствовала доверию. Все очень чисто и аккуратно, приятно посещать такое место. Единственный недостаток это на мой взгляд слегка завышенные цены. Но на свое здоровье и за свое спокойствие никаких денег не жалко!
Пиямов Роман Рустамович
9 ноября 2024 г.
Спасибо, что так развернуто написали - мне правда очень приятно) Всегда рады вам помочь
    Помогите другим сделать правильный выбор — оставьте свой отзыв о докторе
    Написать отзыв

    Услуги стоматолога в других клиниках

    Хирургическая стоматология
    Удаление зубов от 1 150 ₽ до 25 000 ₽
    Удаление кисты и гранулемы зуба от 600 ₽ до 48 500 ₽
    Еще услуги