Стоматолог Денющенков Вадим Леонидович — цены, отзывы, стаж — Принимает в Москве

Денющенков Вадим Леонидович

Денющенков Вадим Леонидович - фотография

5.0
Рейтинг: 5.0
Отзывов: 3
Положительных: 3
Отрицательных: 0
Последний : 324 дн. назад
3 отзыва
стоматолог-ортопед
гнатолог
Стаж 15 лет
врач высшей категории
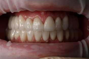
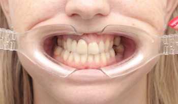
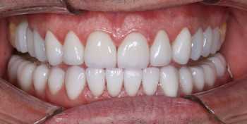
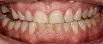
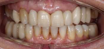
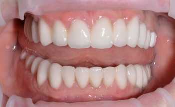
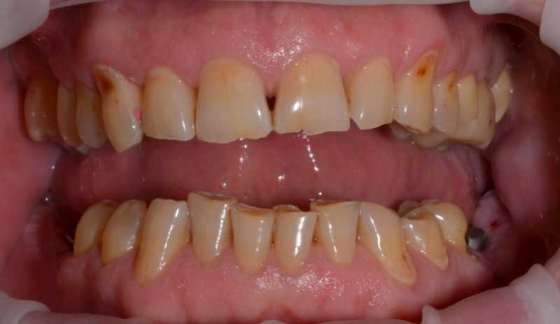
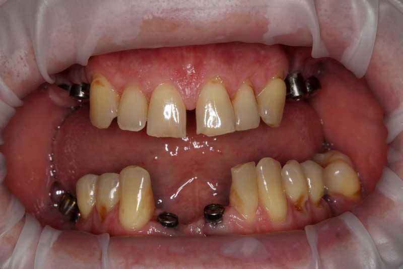
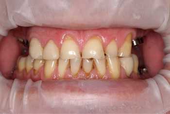
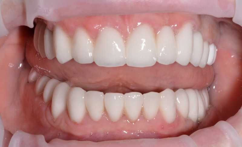
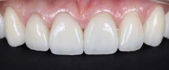
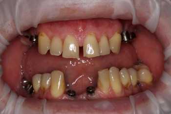
Денющенков Вадим Леонидович принимает в «Стоматологический комплекс ПРЕЗИДЕНТ» в Москве. Врач высшей категории, стаж 15 лет. Специализируется на ортопедии и гнатологии, по которым клиника оказывает 15 услуг. Имеет 11 работ до/после в портфолио. Квалификация специалиста подтверждена 38 лицензиями, сертификатами и наградами. Занимает 19 место в рейтинге гнатологов 32top в вашем городе.

Где принимает:

Врач высшей категории
Опыт 15 лет
38 сертификатов
11 работ в портфолио

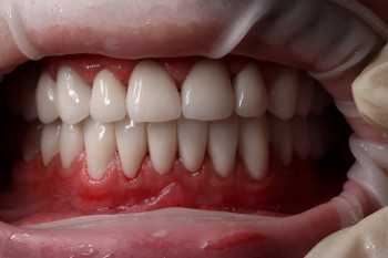
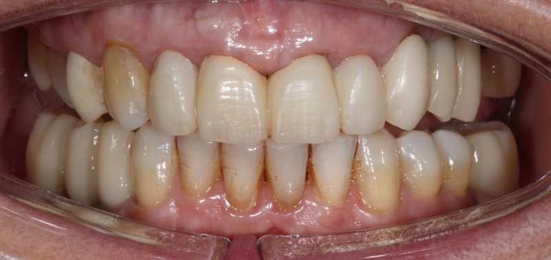
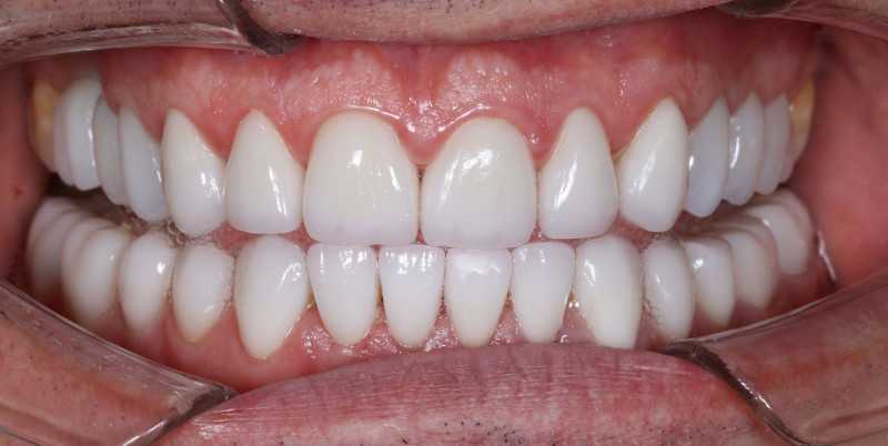
Денющенков Вадим Леонидович: портфолио (11)

Отзывы о враче Денющенков Вадим Леонидович

Рейтинг: 5
Отзывов: 3
Положительных: 3
Отрицательных: 0
Последний: 324 дн. назад
5.0
Почему нашим отзывам можно доверять?
19 июня 2025 г.
1 2 3 4 5
В клинику попала случайно. Качество услуг на очень высоком уровне. Внимательные и профессиональные врачи Сакзлян Вардан Абраамович, Денющенков Вадим Леонидович, Галоян Артур Суренович. Эти врачи занимались лечением и имплантацией. Администраторы создают комфортную атмосферу с первых минут пребывания в клинике. Очень довольна.
Здравствуйте! Спасибо, очень приятно получить такой душевный отзыв. Мы тщательно подбираем врачей, поэтому уверены в каждом из них. Надеемся, что будущие посещения оставят ещё больше хороших впечатлений. С уважением, администрация стоматологии "ПрезиДЕНТ" в Южном Бутово.
После приема Пациент записывался в клинику через 32top. После приёма мы позвонили ему и получили отзыв.
6 февраля 2022 г.
1 2 3 4 5
Случайно увидела эту стоматологию в интернете, решила записаться на прием. Давно хотела заняться зубами. Мне подобрали удобное время, пригласили на прием. Современная обстановка в клинике, все очень чисто. Имплантацию и временное протезирование мне провел Денющенков Вадим. Отнесся внимательно ко всем нюансам. Отзывчивый и грамотный врач. Во время заживления предлагали вне очереди записаться на осмотры. Постоянно была под контролем доктора. Работа еще не окончена, жду протезирования. Всем довольна.
Спасибо за развернутый и приятный отзыв о работе доктора и клиники в целом. Обязательно передадим ваши теплые слова Вадиму Леонидовичу. Уверены, что результат лечения не заставит себя ждать и будет радовать вас долгие годы.
24 апреля 2021 г.
1 2 3 4 5
Обращался в Президент (Южное Бутово) по совету друга, который давно там зубы лечит. Специально приехал к ним из другого района. Проблема – испортилась пломба на передних зубах, нужно менять. Очень хорошие отзывы о докторе Денющенкове Вадиме Леонидовиче, к нему записался. Мой случай для него не стал проблемой, за один прием поменял пломбу сразу на двух передних зубах. С этетической точки зрения все супер, пломба никак не выделяется, отличная работа. Цена также приятно удивила.
Спасибо за оказанное доверие и отзыв. Вадим Леонидович, действительно профессионал высочайшего класса. Благодарим, что делитесь информацией о хорошем докторе с другими. Были рады Вам помочь.
    Помогите другим сделать правильный выбор — оставьте свой отзыв о докторе
    Написать отзыв

    Услуги стоматолога в других клиниках

    Диагностика
    Консультация стоматолога-ортопеда