Стоматолог Мейси (Федорова) Екатерина Игоревна — цены, отзывы, стаж — Принимает в Москве

Мейси (Федорова) Екатерина Игоревна

Мейси (Федорова) Екатерина Игоревна - фотография
стоматолог-терапевт
Стаж 9 лет
6 сертификатов
3 работы в портфолио
Опыт 9 лет

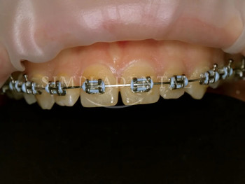
Мейси (Федорова) Екатерина Игоревна: портфолио (3)

    Помогите другим сделать правильный выбор — оставьте свой отзыв о докторе
    Написать отзыв

    Услуги стоматолога в других клиниках

    Терапевтическая стоматология
    Лечение кариеса от 3 500 ₽ до 14 500 ₽
    Лечение пульпита от 5 000 ₽ до 35 000 ₽
    Еще услуги