Стоматолог Цыреторов Сокто Станиславович — цены, отзывы, стаж — Принимает в Москве

Цыреторов Сокто Станиславович

Цыреторов Сокто Станиславович - фотография
стоматолог-терапевт
стоматолог-хирург
Стаж 15 лет
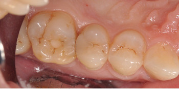
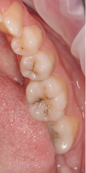
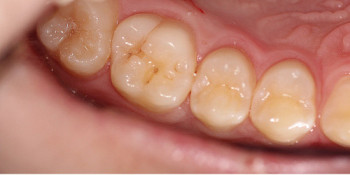
Цыреторов Сокто Станиславович принимает в «Стоматология ДЕНТАЛ ЛАКШЕРИ КЛИНИК» в Москве. Стаж 15 лет. Специализируется на терапии и хирургии, по которым клиника оказывает 20 услуг. Имеет 7 работ до/после в портфолио. Квалификация специалиста подтверждена 32 лицензиями, сертификатами и наградами. Для уточнения дополнительной информации о специалисте или записи на прием можно позвонить по телефону
+7 (499)Показать телефон
.

Где принимает:

32 сертификата
Опыт 15 лет
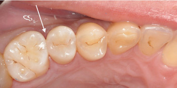
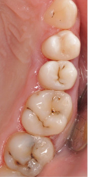
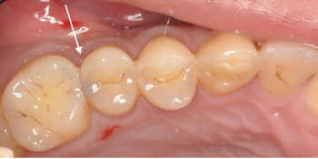
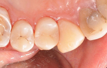
7 работ в портфолио

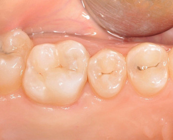
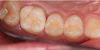
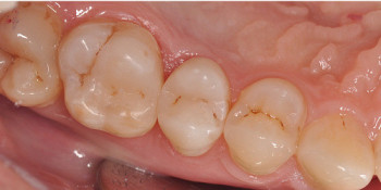
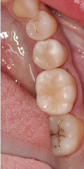
Цыреторов Сокто Станиславович: портфолио (7)

    Помогите другим сделать правильный выбор — оставьте свой отзыв о докторе
    Написать отзыв

    Услуги стоматолога в других клиниках

    Терапевтическая стоматология
    Лечение кариеса от 3 500 ₽ до 14 500 ₽
    Лечение пульпита от 5 000 ₽ до 35 000 ₽
    Еще услуги
    Хирургическая стоматология
    Удаление зубов от 1 150 ₽ до 25 000 ₽
    Удаление кисты и гранулемы зуба от 600 ₽ до 48 500 ₽
    Еще услуги