Стоматолог Сычёва Татьяна Викторовна — цены, отзывы, стаж — Принимает в Москве

Сычёва Татьяна Викторовна

Сычёва Татьяна Викторовна - фотография

5.0
Рейтинг: 5.0
Отзывов: 2
Положительных: 2
Отрицательных: 0
Последний : 77 дн. назад
2 отзыва
стоматолог-ортодонт
Стаж 7 лет
Сычёва Татьяна Викторовна принимает в «Стоматологическая клиника СЕМЬЯ» в Лобне. Стаж 7 лет. Специализируется на ортодонтии, по которой клиника оказывает 6 услуг. Имеет 2 работы до/после в портфолио. Квалификация специалиста подтверждена 10 лицензиями, сертификатами и наградами. Для уточнения дополнительной информации о специалисте или записи на прием можно позвонить по телефону
+7 (495)Показать телефон
. Также 32top представляет форму онлайн расписания, через которую можно записаться к специалисту на свободную дату и время.

Где принимает:

10 сертификатов
Опыт 7 лет
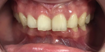
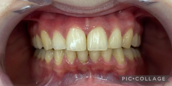
2 работы в портфолио

О стоматологе

Сычёва Т. В. работает со взрослыми и детьми как на съемной, так и на несъёмной аппаратуре. Ежегодно посещает семинары и курсы только проверенных лекторов и специалистов.

Сычёва Татьяна Викторовна: портфолио (2)

Отзывы о враче Сычёва Татьяна Викторовна

Рейтинг: 5
Отзывов: 2
Положительных: 2
Отрицательных: 0
Последний: 77 дн. назад
5.0
Почему нашим отзывам можно доверять?
20 февраля 2026 г.
1 2 3 4 5
Были на приеме у детского стоматолога Даниила Александровича Комарова, также наблюдаемся у врача-ортодонта Сычевой Татьяны Викторовны, все очень нравится, очень довольны. Огромная благодарность!
Здравствуйте! Благодарим вас за отзыв о работе нашего стоматологического центра. Нам очень приятно, что вы остались довольны качеством оказанных услуг.
19 сентября 2025 г.
1 2 3 4 5
Самая лучшая клиника в городе! Ставила брекеты У Сычевой и не разу не пожалела. Все сделали на высшем уровне! Также делаю чистку Зубов, все как всегда на высшем уровне
    Помогите другим сделать правильный выбор — оставьте свой отзыв о докторе
    Написать отзыв

    Услуги стоматолога в других клиниках

    Ортодонтия
    Установка брекетов от 10 000 ₽ до 400 000 ₽
    Снятие брекетов от 530 ₽ до 42 000 ₽
    Еще услуги