Каждый отзыв проходит тщательную проверку
Если у нас есть сомнения в достоверности, мы проводим дополнительную проверку:
связываемся с автором отзыва и запрашиваем документы, подтверждающие факт посещения клиники.
30% отзывов не проходят модерацию
Мы не размещаем и не допускаем к публикации заказные отзывы.
Собираем отзывы после приёма
Наш колл-центр получает отзывы у пациентов, записавшихся на приём через 32top.
Отлично!
+7 (9X5) X65-XX-XX
5 ноября 2025 г.
12345
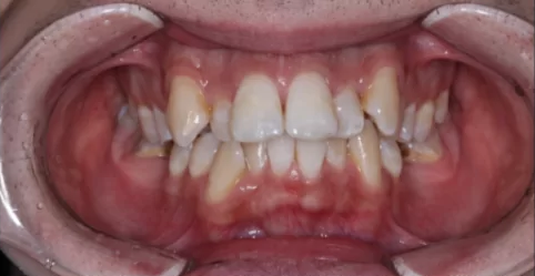
Уже много лет доверяю и обращаюсь только в клинику Доктора Муссурова, лечу кариес, 3 года проходила ортодонтическое лечение, делаю чистку зубов. Врачи очень внимательны, расскажут этапы лечения, какие материалы или техники используются. Выражаю благодарность Макке Курейшевне и Арнольду Ашотовичу.
Читать полностью
+7 (9X9) X10-XX-XX
14 марта 2025 г.
12345
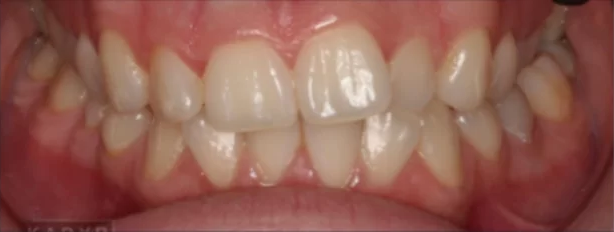
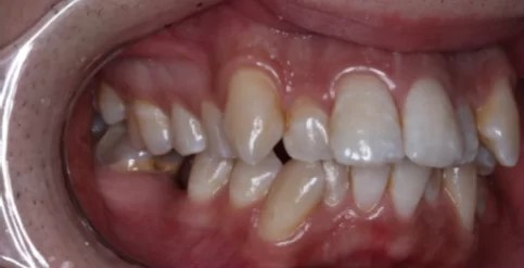
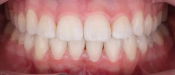
Хочу выразить огромную благодарность клинике и всем врачам! За год и четыре месяца моя улыбка превратилась в настоящую голливудскую. Сначала я даже не верила, что такое возможно, но результат превзошёл все ожидания — зубы стали идеально ровными, прикус исправился.
Особая благодарность ортодонту Макке Курейшевне — именно она привела мою улыбку к такому прекрасному результату. Стефанида Николаевна подготовила зубы к установке брекетов, а хирург Аслан Харабиевич удалил зубы мудрости — быстро, безболезненно и очень профессионально.
Все врачи здесь — настоящие мастера своего дела. Спасибо за вашу работу!
Читать полностью
‹
›
×
Помогите другим сделать правильный выбор — оставьте свой отзыв о докторе
Написать отзыв
Оставить отзыв
Для подтверждения записи позвоните с этого номера
Звонок бесплатный — дождитесь окончания вызова
или
Закажите звонок — мы продиктуем проверочный код
Сейчас позвоним вам. Прослушайте сообщение и введите код из 4 цифр.
Введите код активации отзыва:
Не получили звонок? Отправить код в sms
Подтвердить код
Благодарим за отзыв! В случае успешного прохождения модерации, ваш отзыв появится на сайте в течение 1-3 рабочих дней.
Отзывы о враче Астахова Макка Курейшевна
Каждый отзыв проходит тщательную проверку Если у нас есть сомнения в достоверности, мы проводим дополнительную проверку: связываемся с автором отзыва и запрашиваем документы, подтверждающие факт посещения клиники.
30% отзывов не проходят модерацию Мы не размещаем и не допускаем к публикации заказные отзывы.
Собираем отзывы после приёма Наш колл-центр получает отзывы у пациентов, записавшихся на приём через 32top.