Стоматолог Шафоростова Екатерина Васильевна — цены, отзывы, стаж — Принимает в Москве

Шафоростова Екатерина Васильевна

Шафоростова Екатерина Васильевна - фотография
стоматолог-ортодонт
Стаж 9 лет
Опыт 9 лет
4 работы в портфолио

О стоматологе

Ключевые компетенции:

  • Диагностика и профилактика зубо-челюстных аномалий.
  • Ортодонтическое лечение детей с помощью съемных или несъемных аппаратов.
  • Исправление прикуса с использованием брекет-систем.
  • Исправление прикуса с помощью элайнеров.
  • Ортодонтическая подготовка к хирургической коррекции аномалий прикуса различных плоскостей.

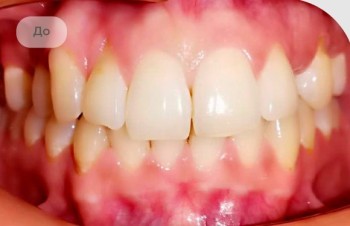
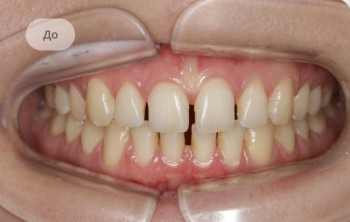
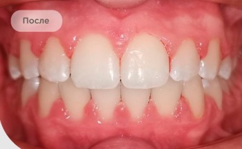
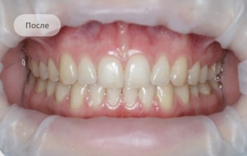
Шафоростова Екатерина Васильевна: портфолио (4)

    Помогите другим сделать правильный выбор — оставьте свой отзыв о докторе
    Написать отзыв

    Услуги стоматолога в других клиниках

    Ортодонтия
    Установка брекетов от 10 000 ₽ до 400 000 ₽
    Снятие брекетов от 530 ₽ до 42 000 ₽
    Еще услуги