Стоматолог Брылина Ксения Александровна — цены, отзывы, стаж — Принимает в Москве

Брылина Ксения Александровна

Брылина Ксения Александровна - фотография
стоматолог-ортодонт
Стаж 16 лет
Брылина Ксения Александровна принимает в «Сеть ортодонтических клиник АЙОРТО» в Москве. Стаж 16 лет. Специализируется на ортодонтии, по которой клиника оказывает 4 услуги. Имеет 4 работы до/после в портфолио. Квалификация специалиста подтверждена 21 лицензиями, сертификатами и наградами. Для уточнения дополнительной информации о специалисте или записи на прием можно позвонить по телефону
+7 (495)Показать телефон
.

Где принимает:

21 сертификат
4 работы в портфолио
Опыт 16 лет

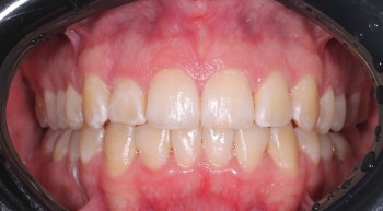
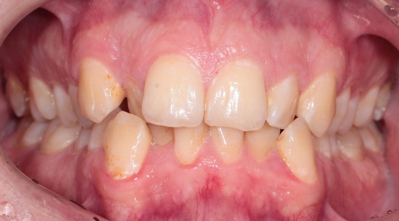
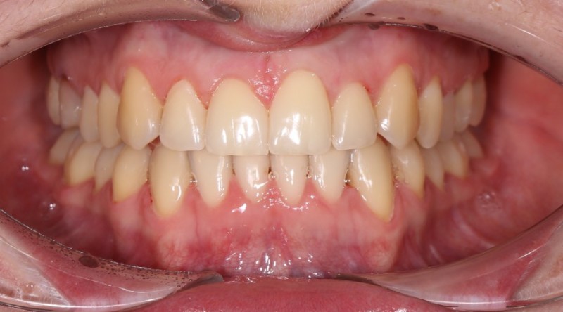
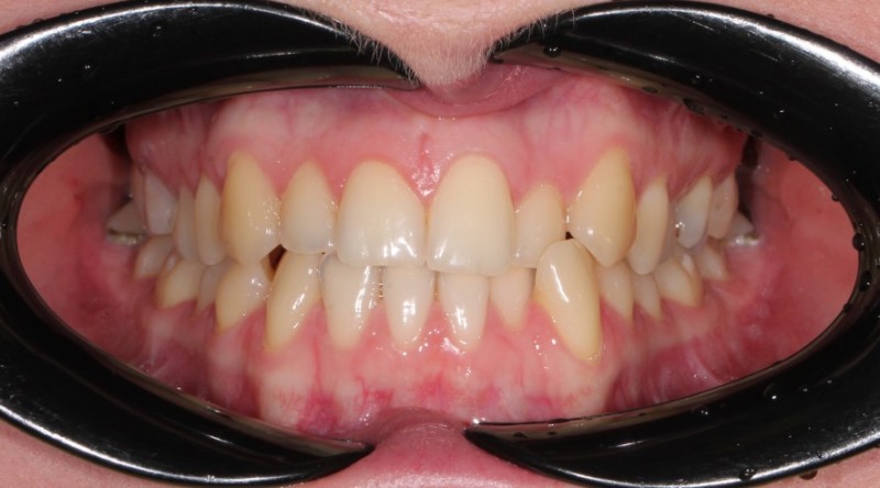
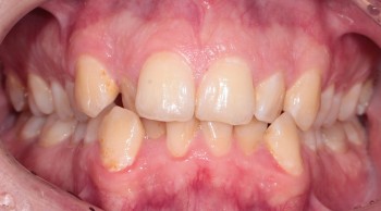
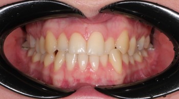
Брылина Ксения Александровна: портфолио (4)

    Помогите другим сделать правильный выбор — оставьте свой отзыв о докторе
    Написать отзыв

    Услуги стоматолога в других клиниках

    Ортодонтия
    Установка брекетов от 10 000 ₽ до 400 000 ₽
    Снятие брекетов от 530 ₽ до 42 000 ₽
    Еще услуги