Стоматолог Просвирин Роман Владимирович — цены, отзывы, стаж — Принимает в Москве

Просвирин Роман Владимирович

Просвирин Роман Владимирович - фотография
стоматолог-терапевт
Стаж 6 лет
Просвирин Роман Владимирович принимает в «Медицинская клиника МЕДАСПЕКТ» в Москве. Стаж 6 лет. Специализируется на терапии, по которой клиника оказывает 14 услуг. Имеет 3 работы до/после в портфолио. Квалификация специалиста подтверждена 2 лицензиями, сертификатами и наградами. Для уточнения дополнительной информации о специалисте или записи на прием можно позвонить по телефону
+7 (496)Показать телефон
.

Где принимает:

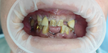
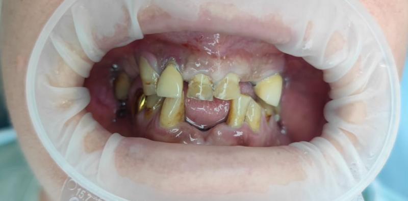
3 работы в портфолио
2 сертификата
Опыт 6 лет
    Помогите другим сделать правильный выбор — оставьте свой отзыв о докторе
    Написать отзыв

    Просвирин Роман Владимирович: портфолио (3)

    Услуги стоматолога в других клиниках

    Терапевтическая стоматология
    Лечение кариеса от 3 500 ₽ до 14 500 ₽
    Лечение пульпита от 5 000 ₽ до 35 000 ₽
    Еще услуги