Стоматолог Бораева Александра Александровна — цены, отзывы, стаж — Принимает в Москве

Бораева Александра Александровна

Бораева Александра Александровна - фотография
стоматолог-ортодонт
Стаж 5 лет
Бораева Александра Александровна принимает в «Сеть ортодонтических клиник АЙОРТО» в Москве. Стаж 5 лет. Специализируется на ортодонтии, по которой клиника оказывает 2 услуги. Имеет 2 работы до/после в портфолио. Квалификация специалиста подтверждена 3 лицензиями, сертификатами и наградами. Для уточнения дополнительной информации о специалисте или записи на прием можно позвонить по телефону
+7 (495)Показать телефон
.

Где принимает:

Опыт 5 лет
3 сертификата
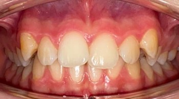
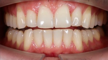
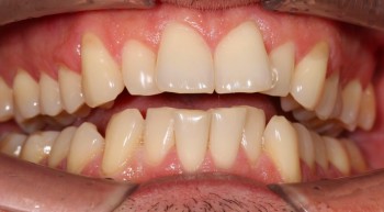
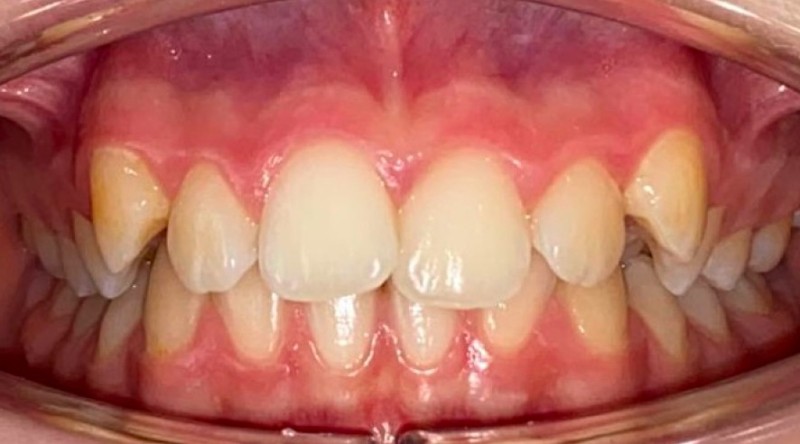
2 работы в портфолио

Бораева Александра Александровна: портфолио (2)

    Помогите другим сделать правильный выбор — оставьте свой отзыв о докторе
    Написать отзыв

    Услуги стоматолога в других клиниках

    Ортодонтия
    Установка брекетов от 10 000 ₽ до 400 000 ₽
    Снятие брекетов от 530 ₽ до 42 000 ₽
    Еще услуги