Стоматолог Бегларян Лилит Камоевна — цены, отзывы, стаж — Принимает в Москве

Бегларян Лилит Камоевна

Бегларян Лилит Камоевна - фотография
стоматолог-гигиенист
Стаж 5 лет
Бегларян Лилит Камоевна принимает в «Стоматологический центр ПЕРОВО» в Москве. Стаж 5 лет. Специализируется на гигиене полости рта, по которой клиника оказывает 4 услуги. Имеет 2 работы до/после в портфолио. Квалификация специалиста подтверждена 6 лицензиями, сертификатами и наградами. Также 32top представляет форму онлайн расписания, через которую можно записаться к специалисту на свободную дату и время.

Где принимает:

6 сертификатов
Опыт 5 лет
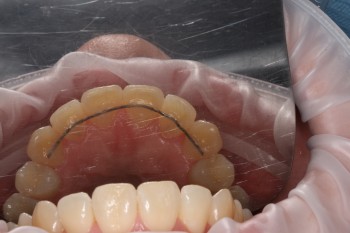
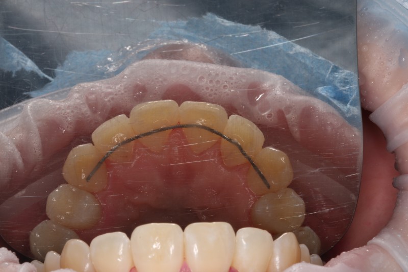
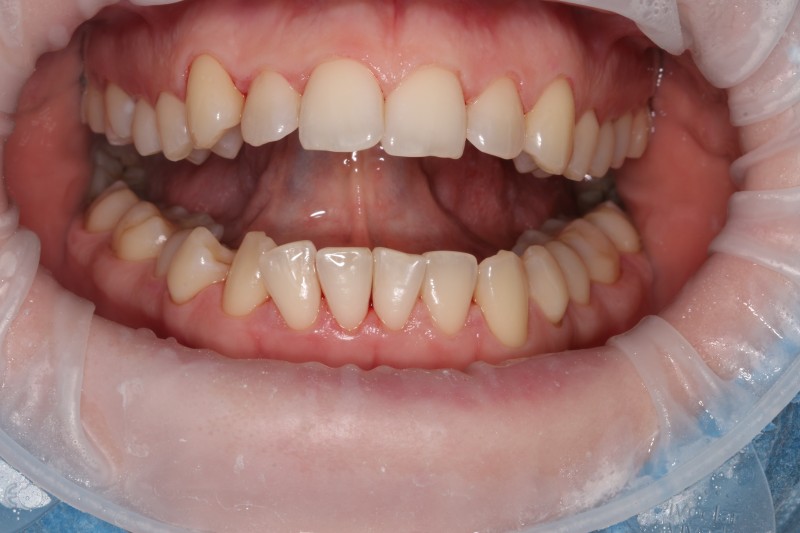
2 работы в портфолио

Бегларян Лилит Камоевна: портфолио (2)

    Помогите другим сделать правильный выбор — оставьте свой отзыв о докторе
    Написать отзыв

    Услуги стоматолога в других клиниках

    Профгигиена
    Чистка зубов Air-flow от 1 000 ₽ до 12 800 ₽
    Фторирование зубов от 50 ₽ до 7 500 ₽
    Еще услуги