Стоматолог Щепина Яна Игоревна — цены, отзывы, стаж — Принимает в Москве

Щепина Яна Игоревна

Щепина Яна Игоревна - фотография
стоматолог-терапевт
Стаж 11 лет
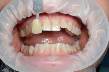
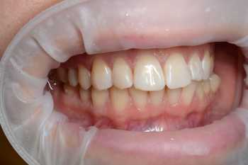
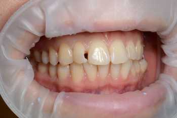
Щепина Яна Игоревна принимает в «Медицинский центр ЛАТУМ КЛИНИКА» в Москве. Стаж 11 лет. Специализируется на терапии, по которой клиника оказывает 12 услуг. Имеет 4 работы до/после в портфолио. Для уточнения дополнительной информации о специалисте или записи на прием можно позвонить по телефону
+7 (495)Показать телефон
.

Где принимает:

4 работы в портфолио
Опыт 11 лет

Щепина Яна Игоревна: портфолио (4)

    Помогите другим сделать правильный выбор — оставьте свой отзыв о докторе
    Написать отзыв

    Услуги стоматолога в других клиниках

    Терапевтическая стоматология
    Лечение кариеса от 3 500 ₽ до 14 500 ₽
    Лечение пульпита от 5 000 ₽ до 35 000 ₽
    Еще услуги