Стоматолог Салихова Гузалия Зуфаровна — цены, отзывы, стаж — Принимает в Москве

Салихова Гузалия Зуфаровна

Салихова Гузалия Зуфаровна - фотография
стоматолог-ортодонт
Стаж 9 лет
Салихова Гузалия Зуфаровна принимает в «Стоматология С.Е. ДЕНТАЛ КЛИНИК» в Реутове. Стаж 9 лет. Специализируется на ортодонтии, по которой клиника оказывает 6 услуг. Имеет 3 работы до/после в портфолио. Для уточнения дополнительной информации о специалисте или записи на прием можно позвонить по телефону
+7 (495)Показать телефон
.

Где принимает:

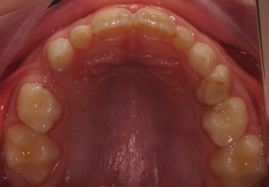
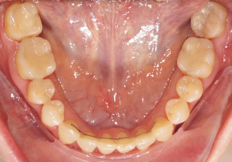
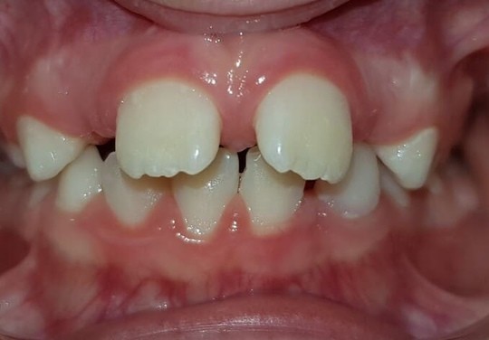
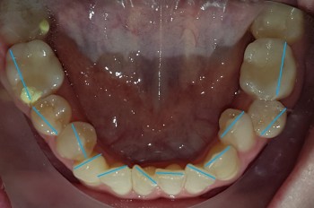
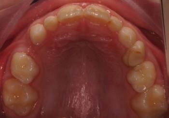
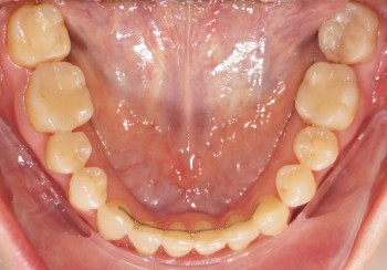
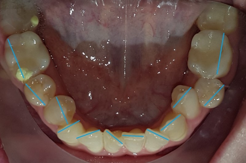
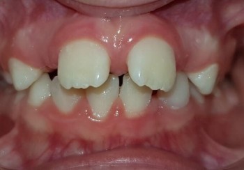
3 работы в портфолио
Опыт 9 лет

Салихова Гузалия Зуфаровна: портфолио (3)

    Помогите другим сделать правильный выбор — оставьте свой отзыв о докторе
    Написать отзыв

    Услуги стоматолога в других клиниках

    Ортодонтия
    Установка брекетов от 10 000 ₽ до 400 000 ₽
    Снятие брекетов от 530 ₽ до 42 000 ₽
    Еще услуги