Стоматолог Наумов Игорь Анатольевич — цены, отзывы, стаж — Принимает в Москве

Наумов Игорь Анатольевич

Наумов Игорь Анатольевич - фотография
стоматолог-ортодонт
гнатолог
Стаж 5 лет
Наумов Игорь Анатольевич принимает в «СТОМАТОЛОГИЯ ДОКТОРА РОМАНЦОВА ВЕСТ ДЕНТАЛ КЛИНИК» в Москве. Стаж 5 лет. Специализируется на ортодонтии и гнатологии, по которым клиника оказывает 9 услуг. Для уточнения дополнительной информации о специалисте или записи на прием можно позвонить по телефону
+7 (499)Показать телефон
. Также 32top представляет форму онлайн расписания, через которую можно записаться к специалисту на свободную дату и время.

Где принимает:

Опыт 5 лет
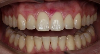
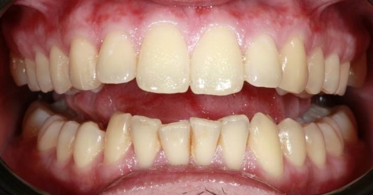
1 работа в портфолио

Наумов Игорь Анатольевич: портфолио (1)

    Помогите другим сделать правильный выбор — оставьте свой отзыв о докторе
    Написать отзыв

    Услуги стоматолога в других клиниках

    Ортодонтия
    Установка брекетов от 10 000 ₽ до 400 000 ₽
    Снятие брекетов от 530 ₽ до 42 000 ₽
    Еще услуги