Стоматолог Нижегородова Дарья Владимировна — цены, отзывы, стаж — Принимает в Москве

Нижегородова Дарья Владимировна

Нижегородова Дарья Владимировна - фотография
стоматолог-терапевт
стоматолог-эндодонтист
Стаж 17 лет
Нижегородова Дарья Владимировна принимает в «Стоматологическая клиника ТРИЛОГИЯ» в Москве. Стаж 17 лет. Специализируется на терапии и эндодонтическом лечении, по которым клиника оказывает 23 услуги. Имеет 3 работы до/после в портфолио. Квалификация специалиста подтверждена 6 лицензиями, сертификатами и наградами. Для уточнения дополнительной информации о специалисте или записи на прием можно позвонить по телефону
+7 (495)Показать телефон
.

Где принимает:

Опыт 17 лет
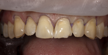
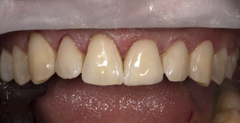
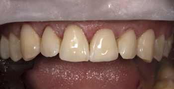
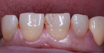
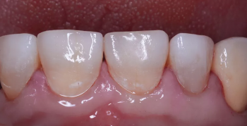
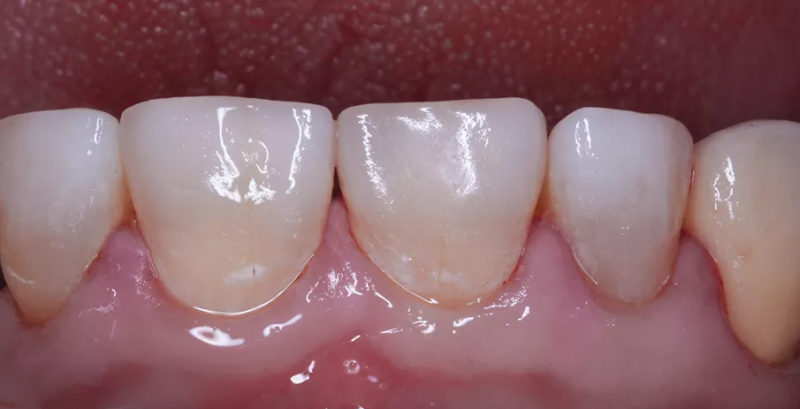
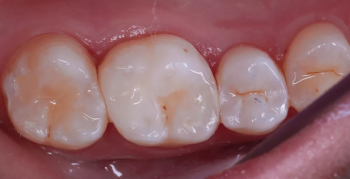
3 работы в портфолио
6 сертификатов

О стоматологе

Стоматолог-терапевт, эндодонтист

Нижегородова Дарья Владимировна: портфолио (3)

Отзывы о враче Нижегородова Дарья Владимировна

Почему нашим отзывам можно доверять?
5 февраля 2020 г.
1 2 3 4 5
Дарья Владимировна - замечательный врач, лечила у нее (стыдно сказать) восемь зубов. Очень тщательно и творчески подходит к процессу, но в то же время легко и с юмором. Наверное, я давно не лечила зубы, но меня искренне удивило, что в процессе я практически не чувствовала боли, один раз вообще чуть не уснула. Пока рано говорить о долговечности пломб, но по результатам лечения искренне рекомендую этого стоматолога. В общем, весь персонал Клиники Богуславского оставил хорошее впечатление - была также у гигиениста и хирурга.
    Помогите другим сделать правильный выбор — оставьте свой отзыв о докторе
    Написать отзыв

    Услуги стоматолога в других клиниках

    Терапевтическая стоматология
    Лечение кариеса от 3 500 ₽ до 14 500 ₽
    Лечение пульпита от 5 000 ₽ до 35 000 ₽
    Еще услуги