Стоматолог Серая (Конотопченко) Диана Юрьевна — цены, отзывы, стаж — Принимает в Москве

Серая (Конотопченко) Диана Юрьевна

Серая (Конотопченко) Диана Юрьевна - фотография
стоматолог-терапевт
Стаж 10 лет
Серая (Конотопченко) Диана Юрьевна принимает в «Стоматологическая клиника КВИНТА ГАНАУ» в Москве. Стаж 10 лет. Специализируется на терапии, по которой клиника оказывает 16 услуг. Имеет 6 работ до/после в портфолио. Для уточнения дополнительной информации о специалисте или записи на прием можно позвонить по телефону
+7 (495)Показать телефон
.

Где принимает:

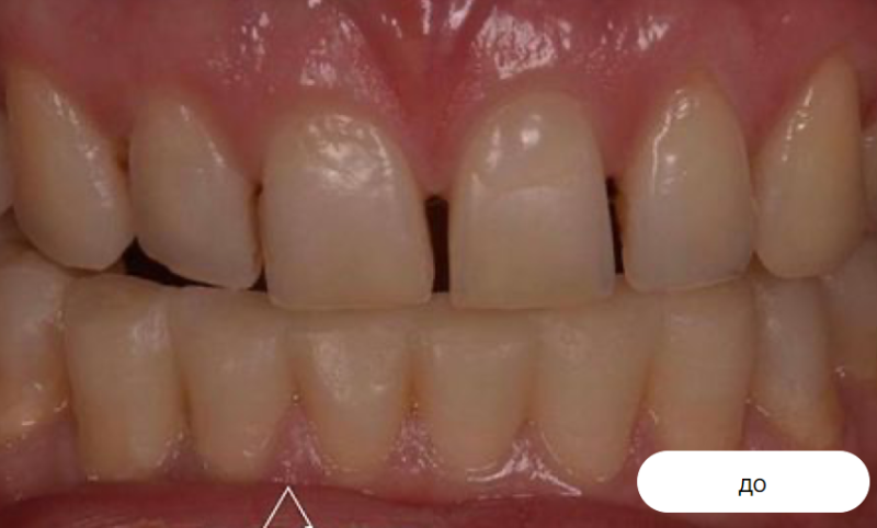
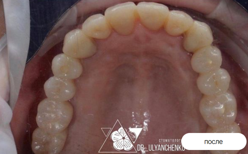
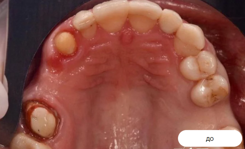
6 работ в портфолио
Опыт 10 лет

Серая (Конотопченко) Диана Юрьевна: портфолио (6)

    Помогите другим сделать правильный выбор — оставьте свой отзыв о докторе
    Написать отзыв

    Услуги стоматолога в других клиниках

    Терапевтическая стоматология
    Лечение кариеса от 3 500 ₽ до 14 500 ₽
    Лечение пульпита от 5 000 ₽ до 35 000 ₽
    Еще услуги