Стоматолог Статова Стефанида Николаевна — цены, отзывы, стаж — Принимает в Москве

Статова Стефанида Николаевна

Статова Стефанида Николаевна - фотография

5.0
Рейтинг: 5.0
Отзывов: 4
Положительных: 4
Отрицательных: 0
Последний : 163 дн. назад
4 отзыва
стоматолог-терапевт
стоматолог-эндодонтист
Стаж 3 года
Статова Стефанида Николаевна принимает в «КЛИНИКА ДОКТОРА МУССУРОВА» в Москве. Стаж 3 года. Специализируется на терапии и эндодонтическом лечении, по которым клиника оказывает 14 услуг. Имеет 12 работ до/после в портфолио. Квалификация специалиста подтверждена 11 лицензиями, сертификатами и наградами. Для уточнения дополнительной информации о специалисте или записи на прием можно позвонить по телефону
+7 (495)Показать телефон
. Также 32top представляет форму онлайн расписания, через которую можно записаться к специалисту на свободную дату и время.

Где принимает:

11 сертификатов
Опыт 3 года
12 работ в портфолио

Отзывы о враче Статова Стефанида Николаевна

Рейтинг: 5
Отзывов: 4
Положительных: 4
Отрицательных: 0
Последний: 163 дн. назад
5.0
Пациенты отмечают:
Профессионализм
Вежливость
Подробные объяснения
Тщательный осмотр
Аккуратность
Лечение помогло
Почему нашим отзывам можно доверять?
26 ноября 2025 г.
1 2 3 4 5
Очень хороший сервис, все сделали на высшем уровне. Доктор Статова Стефанида Николаевна, великолепный специалист, нигде такого подхода к клиенту не видела.
1 ноября 2025 г.
1 2 3 4 5
Очень хорошая клиника, комфортная, чистая, врачи дружелюбные, грамотные. Особенно хочу отметить доктора Статову Стефаниду Николаевну, делает все аккуратно и хорошо
1 ноября 2025 г.
1 2 3 4 5
Доктор Стефанида Николаевна - это уровень Hollywood! Аккуратность и забота, уверенность и профессионализм, с любовью к делу!
6 сентября 2025 г.
1 2 3 4 5
Обожаю эту стоматологию! Здесь всегда чисто, приветливый персонал и удобные условия: есть мягкие кресла, автоматические бахилы и шкаф для одежды. Мой врач — Стефанида Николаевна работает аккуратно, старается делать всё безболезненно, а её работа всегда качественная — пломбы держатся отлично. Буду продолжать лечение здесь!
    Помогите другим сделать правильный выбор — оставьте свой отзыв о докторе
    Написать отзыв

    Услуги врача (33)

    Диагностика
    Консультация стоматолога
    от 1 900 ₽
    Терапевтическая стоматология
    Лечение кариеса
    от 10 000 ₽ до 19 550 ₽ за 1 зуб
    Лечение кариеса ICON
    Лечение поверхностного кариеса
    Еще услуги
    Все цены носят ознакомительный характер. Точную цену вы сможете получить только после консультации специалиста.
    Звоните по телефону:
    +7 (495)Показать телефон

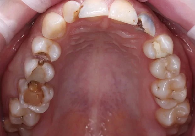
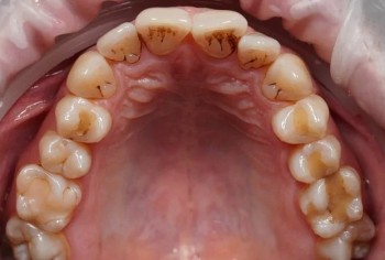
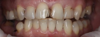
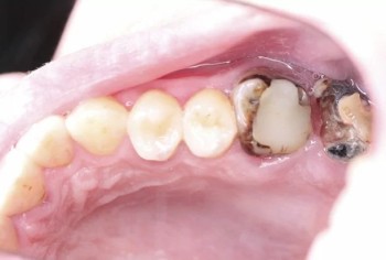
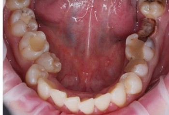
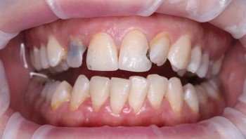
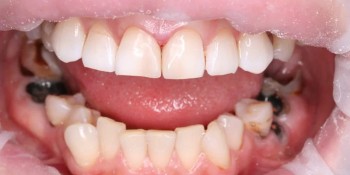
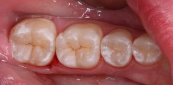
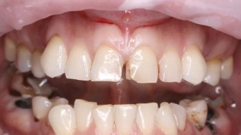
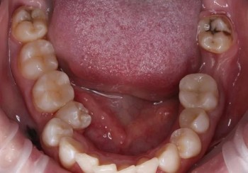
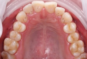
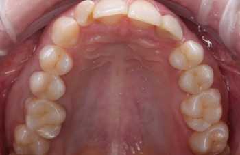
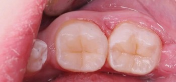
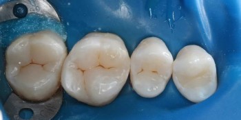
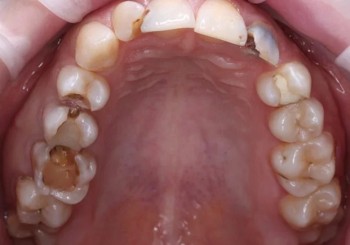
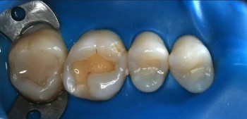
    Статова Стефанида Николаевна: портфолио (12)

    Акции и скидки клиники КЛИНИКА ДОКТОРА МУССУРОВА (5)