Стоматолог Кожевникова Анастасия Сергеевна — цены, отзывы, стаж — Принимает в Москве

Кожевникова Анастасия Сергеевна

Кожевникова Анастасия Сергеевна - фотография
стоматолог-ортодонт
детский ортодонт
Стаж 7 лет
Кожевникова Анастасия Сергеевна принимает в «Стоматология КДС КЛИНИК НА ДМИТРОВСКОМ» в Москве. Стаж 7 лет. Специализируется на ортодонтии, по которым клиника оказывает 16 услуг. Имеет 2 работы до/после в портфолио. Квалификация специалиста подтверждена 8 лицензиями, сертификатами и наградами. Для уточнения дополнительной информации о специалисте или записи на прием можно позвонить по телефону
+7 (495)Показать телефон
.

Где принимает:

Опыт 7 лет
8 сертификатов
2 видеоотзыва
2 работы в портфолио

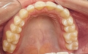
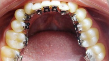
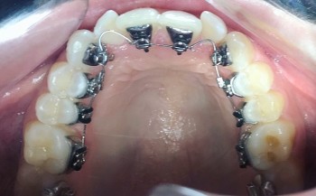
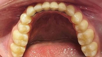
Кожевникова Анастасия Сергеевна: портфолио (2)

    Помогите другим сделать правильный выбор — оставьте свой отзыв о докторе
    Написать отзыв

    Услуги стоматолога в других клиниках

    Ортодонтия
    Установка брекетов от 10 000 ₽ до 400 000 ₽
    Снятие брекетов от 530 ₽ до 42 000 ₽
    Еще услуги