Стоматолог Самедова Афсана Саидовна — цены, отзывы, стаж — Принимает в Москве

Самедова Афсана Саидовна

Самедова Афсана Саидовна - фотография
стоматолог-терапевт
Стаж 5 лет
Самедова Афсана Саидовна принимает в «Профессиональная стоматология ДЕНТАСКРИН» в Москве. Стаж 5 лет. Специализируется на терапии, по которой клиника оказывает 9 услуг. Имеет 2 работы до/после в портфолио. Квалификация специалиста подтверждена 7 лицензиями, сертификатами и наградами. Для уточнения дополнительной информации о специалисте или записи на прием можно позвонить по телефону
+7 (495)Показать телефон
.

Где принимает:

Опыт 5 лет
2 работы в портфолио
7 сертификатов

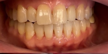
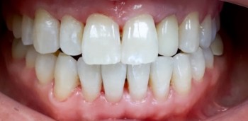
Самедова Афсана Саидовна: портфолио (2)

Отзывы о враче Самедова Афсана Саидовна

Почему нашим отзывам можно доверять?
22 января 2025 г.
1 2 3 4 5
Лечилась у врача Самедовой. Процесс прошел очень комфортно, и я чувствовала себя в надежных руках. Удивительно, насколько медицина шагнула вперед и какие нынче используются инструменты и методы лечения.Определенно могу рекомендовать этого специалиста.
Добрый день! Благодарим за отзыв, мы старались ! Очень рады, что Афсана Саидовна смогла помочь Вам в лечение зубов под микроскопом в изоляционной системе - коффердам. Ждем Вас через через полгода на гигиену полости рта и профилактический осмотр. С уважением, администрация Стоматологии на Никитской.
    Помогите другим сделать правильный выбор — оставьте свой отзыв о докторе
    Написать отзыв

    Услуги стоматолога в других клиниках

    Терапевтическая стоматология
    Лечение кариеса от 3 500 ₽ до 14 500 ₽
    Лечение пульпита от 5 000 ₽ до 35 000 ₽
    Еще услуги