Стоматолог Четырева Аяна Романовна — цены, отзывы, стаж — Принимает в Москве

Четырева Аяна Романовна

Четырева Аяна Романовна - фотография

5.0
Рейтинг: 5.0
Отзывов: 2
Положительных: 2
Отрицательных: 0
Последний : 2631 дн. назад
2 отзыва
стоматолог-ортодонт
гнатолог
Стаж 11 лет
Четырева Аяна Романовна принимает в «Стоматологическая клиника ДЕНТАЛИЯ» в Химках. Стаж 11 лет. Специализируется на ортодонтии и гнатологии, по которым клиника оказывает 5 услуг. Имеет 2 работы до/после в портфолио. Квалификация специалиста подтверждена 17 лицензиями, сертификатами и наградами. Для уточнения дополнительной информации о специалисте или записи на прием можно позвонить по телефону
+7 (499)Показать телефон
.

Где принимает:

17 сертификатов
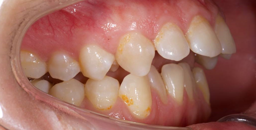
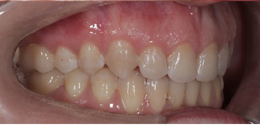
2 работы в портфолио
Опыт 11 лет

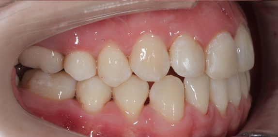
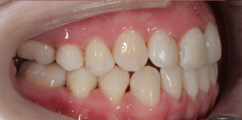
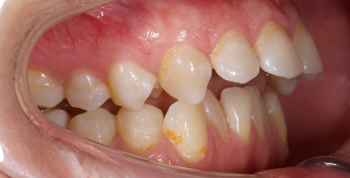
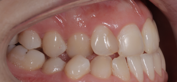
Четырева Аяна Романовна: портфолио (2)

Отзывы о враче Четырева Аяна Романовна

Рейтинг: 5
Отзывов: 2
Положительных: 2
Отрицательных: 0
Последний: 2631 дн. назад
5.0
Почему нашим отзывам можно доверять?
24 февраля 2019 г.
1 2 3 4 5
Хочу выразить благодарность клинике «МедикаСтом» и в частности ортодонту Аяне Романовне. Долго подбирала клинику, но здесь устроило всё – начиная от ценовой политики и заканчивая самой атмосферой. Аяна Романовна покорила профессионализмом и отзывчивостью, после первого визита поняла, что в «МедикаСтом» сделают улыбку моей мечты! Так же хочу отметить работу девочек – администраторов, которые всегда встречают улыбкой и охотно делятся акциями и специальными предложениями, это очень приятно. P.S. А кто попадает на приём в праздничный день - без презентов не остается. Спасибо Вам за вашу работу!
Администрация МедикаСтом
5 марта 2019 г.
Мария Михайловна, мы очень любим отзывы от наших постоянных пациентов. Спасибо за доверие, всегда Вам рады.
1 сентября 2018 г.
1 2 3 4 5
Хочу выразить благодарность клинике «МедикаСтом» и в частности ортодонту Аяне Романовне. Долго подбирала клинику, но здесь устроило всё – начиная от ценовой политики и заканчивая самой атмосферой. Аяна Романовна покорила профессионализмом и отзывчивостью, после первого визита поняла, что в «МедикаСтом» сделают улыбку моей мечты! Также хочу отметить работу девочек – администраторов, которые всегда встречают улыбкой и охотно делятся акциями и специальными предложениями, это очень приятно. P.S. А кто попадает на приём в праздничный день - без презентов не остается. Спасибо Вам за вашу работу!
    Помогите другим сделать правильный выбор — оставьте свой отзыв о докторе
    Написать отзыв

    Услуги стоматолога в других клиниках

    Ортодонтия
    Установка брекетов от 10 000 ₽ до 400 000 ₽
    Снятие брекетов от 530 ₽ до 42 000 ₽
    Еще услуги