Стоматолог Джутова Аида Владимировна — цены, отзывы, стаж — Принимает в Москве

Джутова Аида Владимировна

Джутова Аида Владимировна - фотография
стоматолог-гигиенист
стоматолог-хирург
стоматолог-имплантолог
Стаж 14 лет
Джутова Аида Владимировна принимает в «Стоматологический центр СТОМАТОЛОГИЯ НА 22 ЭТАЖЕ» в Москве. Стаж 14 лет. Специализируется на гигиене полости рта, хирургии и имплантологии, по которым клиника оказывает 34 услуги. Имеет 13 работ до/после в портфолио. Квалификация специалиста подтверждена 11 лицензиями, сертификатами и наградами. Также 32top представляет форму онлайн расписания, через которую можно записаться к специалисту на свободную дату и время.

Где принимает:

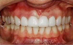
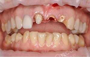
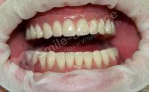
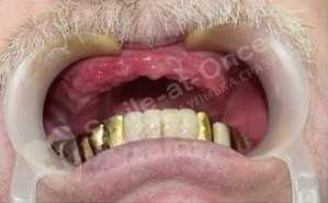
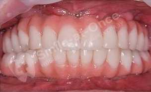
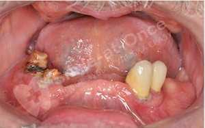
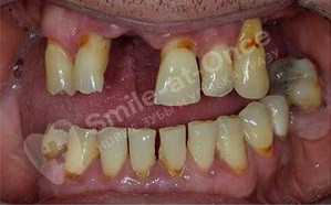
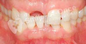
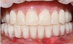
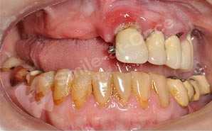
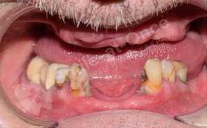
13 работ в портфолио
11 сертификатов
Опыт 14 лет

Джутова Аида Владимировна: портфолио (13)

    Помогите другим сделать правильный выбор — оставьте свой отзыв о докторе
    Написать отзыв

    Услуги стоматолога в других клиниках

    Хирургическая стоматология
    Удаление зубов от 1 150 ₽ до 25 000 ₽
    Удаление кисты и гранулемы зуба от 600 ₽ до 48 500 ₽
    Еще услуги