Стоматолог Симонян Тигран Федяевич — цены, отзывы, стаж — Принимает в Москве

Симонян Тигран Федяевич

Симонян Тигран Федяевич - фотография

4.8
Рейтинг: 4.8
Отзывов: 5
Положительных: 5
Отрицательных: 0
Последний : 521 дн. назад
5 отзывов
стоматолог-ортодонт
Стаж 22 года
Симонян Тигран Федяевич принимает в «Центр Эстетической Стоматологии ДЕНТАЛ ИМПЛАНТ» в Москве. Стаж 22 года. Специализируется на ортодонтии, по которой клиника оказывает 9 услуг. Для уточнения дополнительной информации о специалисте или записи на прием можно позвонить по телефону
+7 (494)Показать телефон
.

Где принимает:

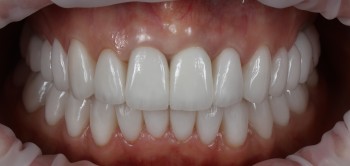
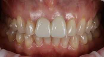
1 работа в портфолио
Опыт 22 года

Симонян Тигран Федяевич: портфолио (1)

Отзывы о враче Симонян Тигран Федяевич

Рейтинг: 4.8
Отзывов: 5
Положительных: 5
Отрицательных: 0
Последний: 521 дн. назад
4.8
Почему нашим отзывам можно доверять?
2 декабря 2024 г.
1 2 3 4 5
Исправил мне прикус элайнерами в 34 года. Если честно, я думала, что такое только детям делают. Перед началом лечения провели полную санацию полости рта. Затем составили план лечения. Мне сразу показали трёхмерную модель, чтобы я могла увидеть конечный результат и то, чего ожидать. Лечение заняло 2,5 года. Сейчас я вижу идеальный результат наших совместных усилий. Огромная благодарность врачу за отличную работу!
3 октября 2024 г.
1 2 3 4 5
Я наблюдаюсь у ортодонта Тиграна Федоровича и очень довольна его работой. Это внимательный доктор, который действительно заботится о своих пациентах. Я регулярно посещаю осмотры, и уже заметен результат: верхняя челюсть понемногу расширяется. Рекомендую!
15 сентября 2024 г.
1 2 3 4 5
Хорошая клиника. Цены приемлемые и запись удобная. Я хожу к одному специалисту, он меня полностью устраивает. А вот ассистентка немного странная. При последнем приеме неприятно нажимала на щеку во время рентгена.
25 июля 2024 г.
1 2 3 4 5
У меня очень сложная проблема с прикусом, поэтому искала опытного стоматолога, который сможет исправить ситуацию. Записаться к нему сложно, пришлось неделю ждать, но результат стоит всех мучений. 2 года лечения, ношения брекетов и у меня ровные и красивые зубы. Спасибо большое за это Тиграну Федяевичу.
14 мая 2024 г.
1 2 3 4 5
Обращался на консультацию, получил полную исчерпывающую информацию. Специалист произвел приятное впечатление, результатом и качеством приема я остался доволен. В самой клинике все хорошо, чисто и стерильно, удобное общение онлайн. Думаю, установку элайнеров доверю этому ортодонту.
    Помогите другим сделать правильный выбор — оставьте свой отзыв о докторе
    Написать отзыв

    Услуги стоматолога в других клиниках

    Ортодонтия
    Установка брекетов