Стоматолог Бельчикова (Гаврилова) Екатерина Андреевна — цены, отзывы, стаж — Принимает в Москве

Бельчикова (Гаврилова) Екатерина Андреевна

Бельчикова (Гаврилова) Екатерина Андреевна - фотография
стоматолог-ортодонт
Стаж 6 лет
Бельчикова (Гаврилова) Екатерина Андреевна принимает в «Стоматологическая клиника ПРОФИДЕНТ» в Москве. Стаж 6 лет. Специализируется на ортодонтии. Имеет 3 работы до/после в портфолио. Квалификация специалиста подтверждена 2 лицензиями, сертификатами и наградами. Для уточнения дополнительной информации о специалисте или записи на прием можно позвонить по телефону
+7 (499)Показать телефон
.

Где принимает:

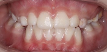
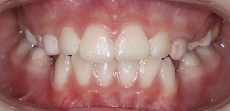
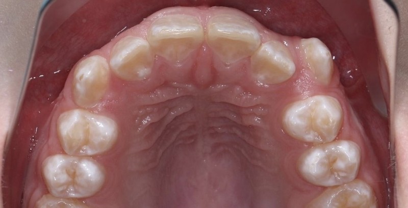
3 работы в портфолио
2 сертификата
Опыт 6 лет

Бельчикова (Гаврилова) Екатерина Андреевна: портфолио (3)

    Помогите другим сделать правильный выбор — оставьте свой отзыв о докторе
    Написать отзыв

    Услуги стоматолога в других клиниках

    Ортодонтия
    Установка брекетов от 10 000 ₽ до 400 000 ₽
    Снятие брекетов от 530 ₽ до 42 000 ₽
    Еще услуги