Стоматолог Белокуров Дмитрий Валерьевич — цены, отзывы, стаж — Принимает в Москве

Белокуров Дмитрий Валерьевич

Белокуров Дмитрий Валерьевич - фотография
стоматолог-ортопед
гнатолог
Стаж 19 лет
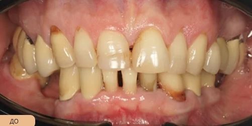
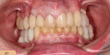
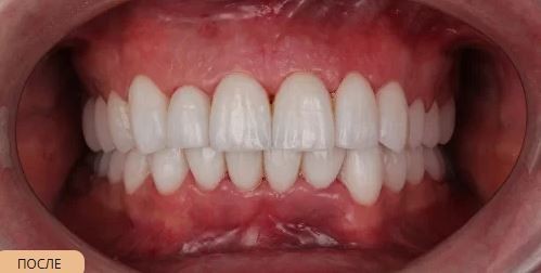
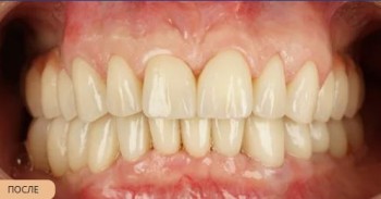
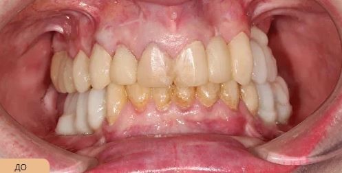
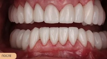
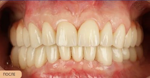
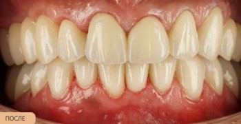
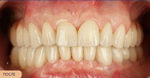
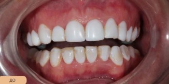
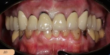
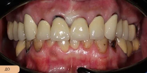
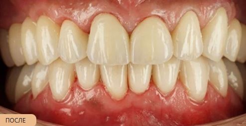
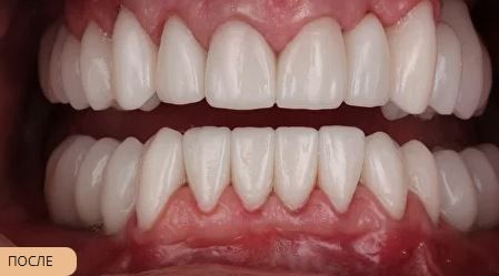
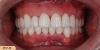
Белокуров Дмитрий Валерьевич принимает в «КЛИНИКА ЭСТЕТИЧЕСКОЙ СТОМАТОЛОГИИ» в Лобне. Стаж 19 лет. Специализируется на ортопедии и гнатологии, по которым клиника оказывает 7 услуг. Имеет 8 работ до/после в портфолио. Для уточнения дополнительной информации о специалисте или записи на прием можно позвонить по телефону
+7 (495)Показать телефон
.

Где принимает:

8 работ в портфолио
Опыт 19 лет
    Помогите другим сделать правильный выбор — оставьте свой отзыв о докторе
    Написать отзыв

    Услуги врача (27)

    Протезирование зубов
    Установка коронки на зуб
    от 31 100 ₽ за 1 зуб
    Установка протеза Акри Фри (Acry-Free)
    Ремонт зубных протезов
    Еще услуги
    Все цены носят ознакомительный характер. Точную цену вы сможете получить только после консультации специалиста.
    Звоните по телефону:
    +7 (495)Показать телефон

    Белокуров Дмитрий Валерьевич: портфолио (8)