Стоматолог Апаева Диана Аслановна — цены, отзывы, стаж — Принимает в Москве

Апаева Диана Аслановна

Апаева Диана Аслановна - фотография
стоматолог-терапевт
стоматолог-ортодонт
Стаж 10 лет
Апаева Диана Аслановна принимает в «Стоматология ДЕНТСИ» в Москве. Стаж 10 лет. Специализируется на терапии и ортодонтии, по которым клиника оказывает 18 услуг. Имеет 2 работы до/после в портфолио. Для уточнения дополнительной информации о специалисте или записи на прием можно позвонить по телефону
+7 (926)Показать телефон
.

Где принимает:

Опыт 10 лет
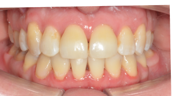
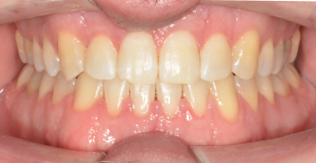
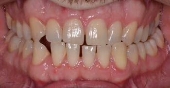
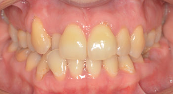
2 работы в портфолио

Отзывы о враче Апаева Диана Аслановна

Почему нашим отзывам можно доверять?
4 февраля 2020 г.
1 2 3 4 5
Лечилась у Дианы Аслановны. Был неправильный прикус. После годового лечения прикус был исправлен и результат превзошел все мои ожидания!!! Спасибо большое!! Рекомендую всем, кому требуется ортодонт, обращаться к Диане Аслановне!
    Помогите другим сделать правильный выбор — оставьте свой отзыв о докторе
    Написать отзыв

    Апаева Диана Аслановна: портфолио (2)

    Услуги стоматолога в других клиниках

    Терапевтическая стоматология
    Лечение кариеса от 3 500 ₽ до 14 500 ₽
    Лечение пульпита от 5 000 ₽ до 35 000 ₽
    Еще услуги
    Эстетическая стоматология
    Установка скайсов от 1 500 ₽ до 12 000 ₽
    Ортодонтия
    Установка брекетов от 10 000 ₽ до 400 000 ₽