Стоматолог Ткаченко Татьяна Сергеевна — цены, отзывы, стаж — Принимает в Москве

Ткаченко Татьяна Сергеевна

Ткаченко Татьяна Сергеевна - фотография
стоматолог-гигиенист
Стаж 19 лет
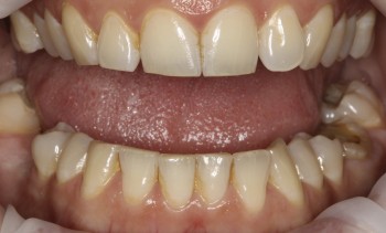
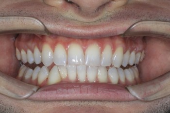
Ткаченко Татьяна Сергеевна принимает в «Стоматологический комплекс ПРЕЗИДЕНТ» в Москве. Стаж 19 лет. Специализируется на гигиене полости рта, по которой клиника оказывает 7 услуг. Имеет 3 работы до/после в портфолио. Квалификация специалиста подтверждена 4 лицензиями, сертификатами и наградами.

Где принимает:

Опыт 19 лет
4 сертификата
3 работы в портфолио

Ткаченко Татьяна Сергеевна: портфолио (3)

    Помогите другим сделать правильный выбор — оставьте свой отзыв о докторе
    Написать отзыв

    Услуги стоматолога в других клиниках

    Эстетическая стоматология
    Установка виниров от 29 000 ₽ до 82 600 ₽
    Установка скайсов от 1 500 ₽ до 12 000 ₽
    Еще услуги