Стоматолог Овсянникова Инна Юрьевна — цены, отзывы, стаж — Принимает в Москве

Овсянникова Инна Юрьевна

Овсянникова Инна Юрьевна - фотография
стоматолог-хирург
пародонтолог
Стаж 13 лет
Овсянникова Инна Юрьевна принимает в «Стоматологический комплекс ПРЕЗИДЕНТ» в Москве. Стаж 13 лет. Специализируется на хирургии и пародонтологии, по которым клиника оказывает 17 услуг.

Где принимает:

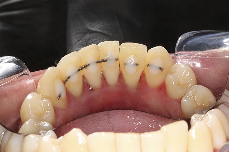
1 работа в портфолио
Опыт 13 лет

Овсянникова Инна Юрьевна: портфолио (1)

Отзывы о враче Овсянникова Инна Юрьевна

Почему нашим отзывам можно доверять?
16 сентября 2020 г.
1 2 3 4 5
В своем отзыве выражаю огромную благодарность парадонтологу Овсянниковой Инне Юрьевне - доктору-профессионалу за ее человечность, чуткость и компетентность в работе. Она справилась с проблемными зубами супруга, которые долго его мучили. Внимательный, грамотный специалист! Быстро приняла решение и устранила проблему! Хочется пожелать доктору здоровья и успехов!
    Помогите другим сделать правильный выбор — оставьте свой отзыв о докторе
    Написать отзыв

    Услуги стоматолога в других клиниках

    Терапевтическая стоматология
    Лечение периодонтита от 6 000 ₽ до 70 350 ₽
    Пародонтология
    Лечение пародонтита от 170 ₽ до 33 600 ₽
    Лечение пародонтоза от 170 ₽ до 24 800 ₽
    Еще услуги
    Хирургическая стоматология
    Удаление зубов от 1 150 ₽ до 25 000 ₽
    Удаление кисты и гранулемы зуба от 600 ₽ до 48 500 ₽
    Еще услуги