Стоматолог Водякова Анна Михайловна — цены, отзывы, стаж — Принимает в Москве

Водякова Анна Михайловна

Водякова Анна Михайловна - фотография
стоматолог-ортодонт
Стаж 9 лет
Водякова Анна Михайловна принимает в «Сеть стоматологий КАРИЕСУ.НЕТ НА ШОКАЛЬСКОГО» в Москве. Стаж 9 лет. Специализируется на ортодонтии, по которой клиника оказывает 13 услуг. Имеет 2 работы до/после в портфолио. Квалификация специалиста подтверждена 36 лицензиями, сертификатами и наградами.

Где принимает:

36 сертификатов
2 работы в портфолио
Опыт 9 лет

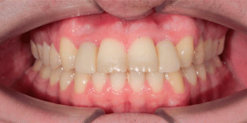
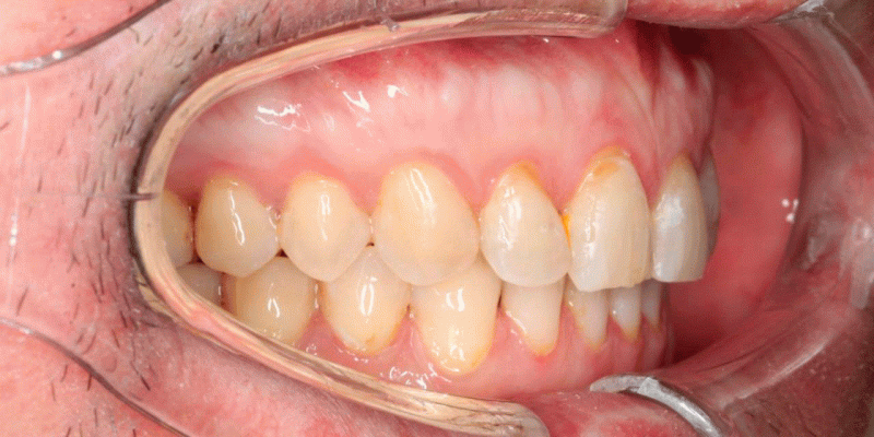
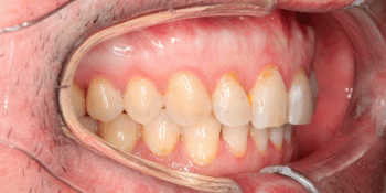
Водякова Анна Михайловна: портфолио (2)

Отзывы о враче Водякова Анна Михайловна

Почему нашим отзывам можно доверять?
6 апреля 2026 г.
1 2 3 4 5
Отличная стоматология! Лечусь у терапевта Антонова — грамотный и заботливый врач. Ещё прохожу ортодонтическое лечение у Водяковой А. М. — с ней сразу нашли общий язык. И администраторы очень приятные и вежливые.
лагодарим вас за тёплый отзыв и доверие нашим специалистам — доктору Антонову и ортодонту Водяковой А.М.! Мы очень рады, что вы нашли общий язык с ними с первых встреч, и цените грамотность, заботливость и вежливость администраторов. Спасибо, что остаётесь с нами! С уважением, команда Кариесу.нет
    Помогите другим сделать правильный выбор — оставьте свой отзыв о докторе
    Написать отзыв

    Услуги стоматолога в других клиниках

    Эстетическая стоматология
    Установка виниров от 29 000 ₽ до 82 600 ₽
    Установка скайсов от 1 500 ₽ до 12 000 ₽
    Еще услуги
    Ортодонтия
    Установка брекетов от 10 000 ₽ до 400 000 ₽