Стоматолог Аргунова (Сивова) Татьяна Анатольевна — цены, отзывы, стаж — Принимает в Москве

Аргунова (Сивова) Татьяна Анатольевна

Аргунова (Сивова) Татьяна Анатольевна - фотография
стоматолог-терапевт
Стаж 10 лет
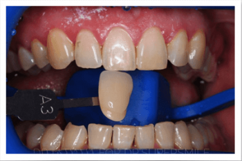
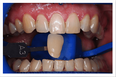
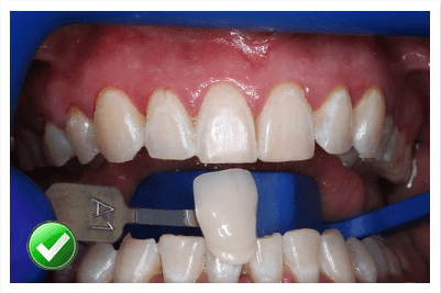
Аргунова (Сивова) Татьяна Анатольевна принимает в «Стоматология ПРОФИ-ДЕНТ НА ЮБИЛЕЙНОМ» в Реутове. Стаж 10 лет. Специализируется на терапии, по которой клиника оказывает 3 услуги. Имеет 5 работ до/после в портфолио. Квалификация специалиста подтверждена 4 лицензиями, сертификатами и наградами. Для уточнения дополнительной информации о специалисте или записи на прием можно позвонить по телефону
+7 (495)Показать телефон
.

Где принимает:

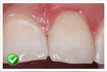
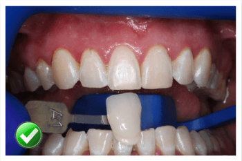
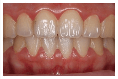
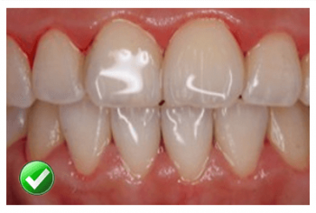
5 работ в портфолио
Опыт 10 лет
4 сертификата

Аргунова (Сивова) Татьяна Анатольевна: портфолио (5)

Отзывы о враче Аргунова (Сивова) Татьяна Анатольевна

Почему нашим отзывам можно доверять?
14 февраля 2021 г.
1 2 3 4 5
Пролечила большое количество зубов у Татьяны Анатольевны. И сейчас, по всем возникающим вопросам, обращаюсь только к ней!
    Помогите другим сделать правильный выбор — оставьте свой отзыв о докторе
    Написать отзыв

    Услуги стоматолога в других клиниках

    Терапевтическая стоматология
    Лечение кариеса от 3 500 ₽ до 14 500 ₽
    Лечение пульпита от 5 000 ₽ до 35 000 ₽
    Еще услуги