Стоматолог Жирухина Кира Сергеевна — цены, отзывы, стаж — Принимает в Москве

Жирухина Кира Сергеевна

Жирухина Кира Сергеевна - фотография
стоматолог-терапевт
пародонтолог
Стаж 15 лет
главный врач
Жирухина Кира Сергеевна принимает в «Сеть ортодонтических клиник АЙОРТО» в Москве. Главный врач, стаж 15 лет. Специализируется на терапии и пародонтологии, по которым клиника оказывает 21 услугу. Имеет 3 работы до/после в портфолио. Квалификация специалиста подтверждена 4 лицензиями, сертификатами и наградами. Для уточнения дополнительной информации о специалисте или записи на прием можно позвонить по телефону
+7 (495)Показать телефон
.

Где принимает:

4 сертификата
Опыт 15 лет
Главный врач
3 работы в портфолио

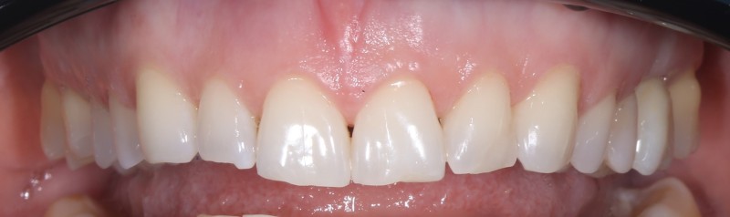
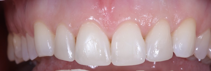
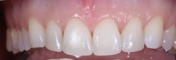
Жирухина Кира Сергеевна: портфолио (3)

    Помогите другим сделать правильный выбор — оставьте свой отзыв о докторе
    Написать отзыв

    Услуги стоматолога в других клиниках

    Терапевтическая стоматология
    Лечение кариеса от 3 500 ₽ до 14 500 ₽
    Лечение пульпита от 5 000 ₽ до 35 000 ₽
    Еще услуги
    Пародонтология
    Лечение пародонтита от 170 ₽ до 33 600 ₽
    Лечение пародонтоза от 170 ₽ до 24 800 ₽
    Еще услуги