Стоматолог Дрюкова Ксения Витальевна — цены, отзывы, стаж — Принимает в Москве

Дрюкова Ксения Витальевна

Дрюкова Ксения Витальевна - фотография
стоматолог-терапевт
пародонтолог
Стаж 8 лет
Дрюкова Ксения Витальевна принимает в «КЛИНИКА ЭСТЕТИЧЕСКОЙ СТОМАТОЛОГИИ» в Лобне. Стаж 8 лет. Специализируется на терапии и пародонтологии, по которым клиника оказывает 7 услуг. Имеет 13 работ до/после в портфолио. Для уточнения дополнительной информации о специалисте или записи на прием можно позвонить по телефону
+7 (495)Показать телефон
.

Где принимает:

Опыт 8 лет
13 работ в портфолио
    Помогите другим сделать правильный выбор — оставьте свой отзыв о докторе
    Написать отзыв

    Услуги врача (53)

    Терапевтическая стоматология
    Лечение кариеса
    от 9 750 ₽ за 1 зуб
    Лечение кариеса ICON
    Лечение поверхностного кариеса
    от 9 750 ₽
    Еще услуги
    Профгигиена
    Комплексная гигиена полости рта
    от 11 500 ₽ вся полость
    Чистка зубов Air-flow
    от 11 500 ₽ за 1 сеанс
    Ультразвуковая чистка зубов
    Еще услуги
    Пародонтология
    Лечение пародонтита
    Лечение пародонтоза
    Лечение аппаратом Вектор
    Еще услуги
    Все цены носят ознакомительный характер. Точную цену вы сможете получить только после консультации специалиста.
    Звоните по телефону:
    +7 (495)Показать телефон

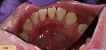
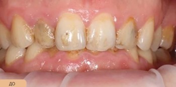
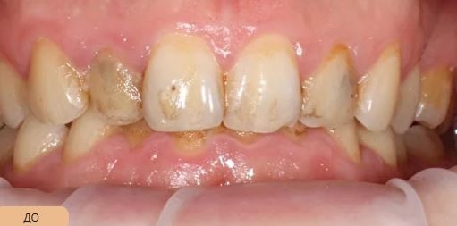
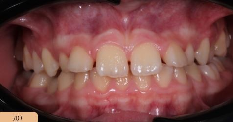
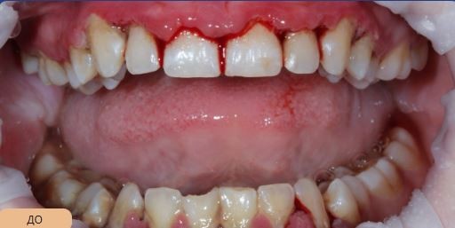
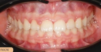
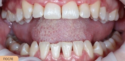
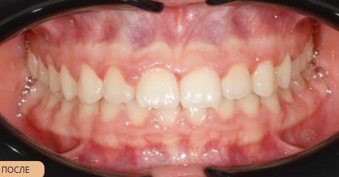
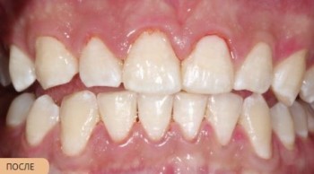
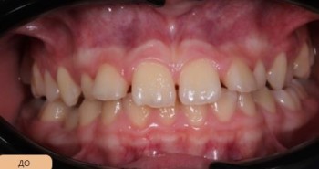
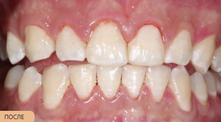
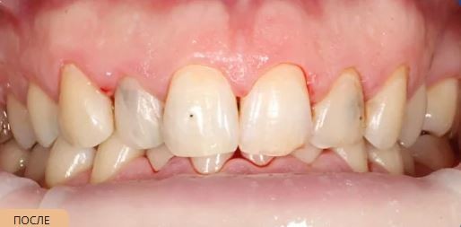
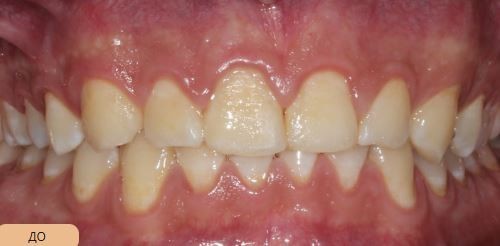
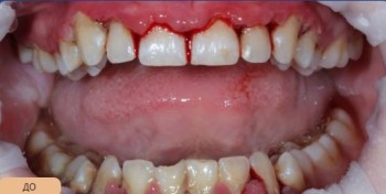
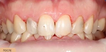
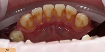
    Дрюкова Ксения Витальевна: портфолио (13)