Стоматолог Рукавишников Роман Дмитриевич — цены, отзывы, стаж — Принимает в Москве

Рукавишников Роман Дмитриевич

Рукавишников Роман Дмитриевич - фотография
пародонтолог
Стаж 11 лет
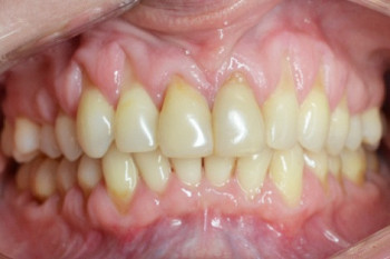
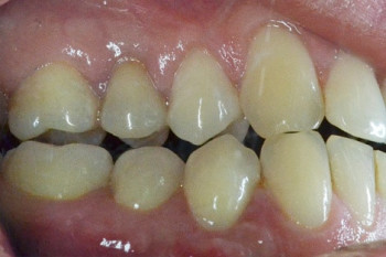
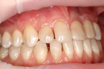
Рукавишников Роман Дмитриевич принимает в «Сеть стоматологических клиник ВСЕ СВОИ!» в Москве. Стаж 11 лет. Специализируется на пародонтологии, по которой клиника оказывает 5 услуг. Имеет 9 работ до/после в портфолио. Квалификация специалиста подтверждена 20 лицензиями, сертификатами и наградами. Для уточнения дополнительной информации о специалисте или записи на прием можно позвонить по телефону
+7 (499)Показать телефон
.

Где принимает:

20 сертификатов
9 работ в портфолио
Опыт 11 лет

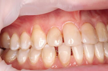
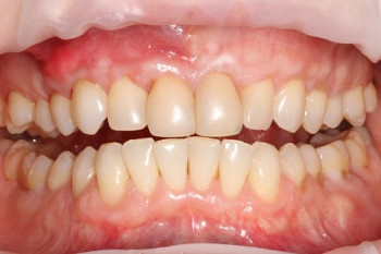
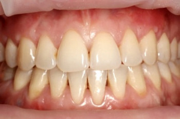
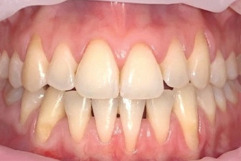
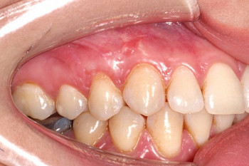
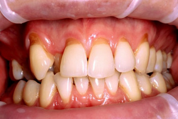
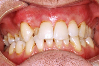
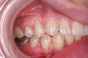
Рукавишников Роман Дмитриевич: портфолио (9)

    Помогите другим сделать правильный выбор — оставьте свой отзыв о докторе
    Написать отзыв

    Услуги стоматолога в других клиниках

    Терапевтическая стоматология
    Лечение периодонтита от 6 000 ₽ до 70 350 ₽
    Пародонтология
    Лечение пародонтита от 170 ₽ до 33 600 ₽
    Лечение пародонтоза от 170 ₽ до 24 800 ₽
    Еще услуги