Стоматолог Джатдаев Всеволод Валерьевич — цены, отзывы, стаж — Принимает в Москве

Джатдаев Всеволод Валерьевич

Джатдаев Всеволод Валерьевич - фотография
стоматолог-хирург
стоматолог-имплантолог
пародонтолог
Стаж 12 лет
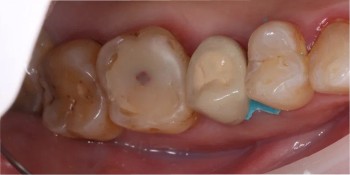
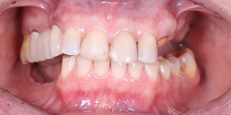
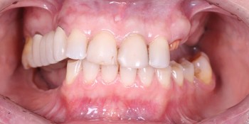
Джатдаев Всеволод Валерьевич принимает в «Сеть ортодонтических клиник АЙОРТО» в Москве. Стаж 12 лет. Специализируется на хирургии, имплантологии и пародонтологии, по которым клиника оказывает 15 услуг. Имеет 3 работы до/после в портфолио. Квалификация специалиста подтверждена 14 лицензиями, сертификатами и наградами. Для уточнения дополнительной информации о специалисте или записи на прием можно позвонить по телефону
+7 (495)Показать телефон
.

Где принимает:

Опыт 12 лет
14 сертификатов
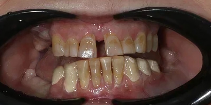
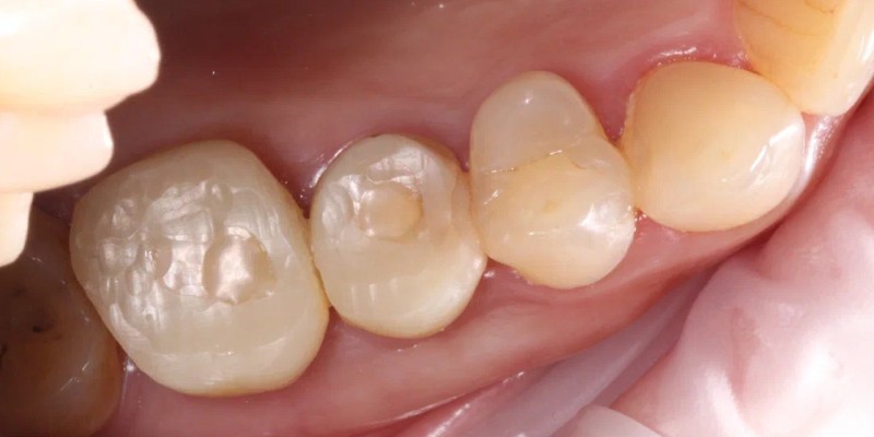
3 работы в портфолио

Джатдаев Всеволод Валерьевич: портфолио (3)

Отзывы о враче Джатдаев Всеволод Валерьевич

Почему нашим отзывам можно доверять?
23 января 2023 г.
1 2 3 4 5
В начале января ходил на удаления зуба к Джатдаеву Всеволоду, молодой человек приятный, не суетится, размеренные действия, четко организовал свою работу. Спасибо.
Джатдаев Всеволод Валерьевич
6 февраля 2026 г.
Благодарим за отзыв и рекомендацию доктора. С уважением, команда iOrtho
    Помогите другим сделать правильный выбор — оставьте свой отзыв о докторе
    Написать отзыв

    Услуги стоматолога в других клиниках

    Хирургическая стоматология
    Удаление зубов от 1 150 ₽ до 25 000 ₽
    Удаление кисты и гранулемы зуба от 600 ₽ до 48 500 ₽
    Еще услуги