Стоматолог Дакаев Азамат Хусайнович — цены, отзывы, стаж — Принимает в Москве

Дакаев Азамат Хусайнович

Дакаев Азамат Хусайнович - фотография
стоматолог-ортодонт
гнатолог
Стаж 10 лет
врач высшей категории
Дакаев Азамат Хусайнович принимает в «Стоматологическая клиника АДМ КЛИНИК» в Москве. Врач высшей категории, стаж 10 лет. Специализируется на ортодонтии и гнатологии, по которым клиника оказывает 4 услуги. Имеет 2 работы до/после в портфолио. Также 32top представляет форму онлайн расписания, через которую можно записаться к специалисту на свободную дату и время.

Где принимает:

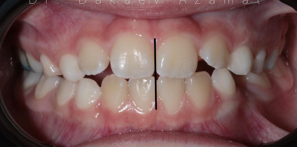
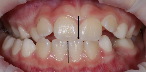
2 работы в портфолио
Врач высшей категории
Опыт 10 лет

О стоматологе

Квалификация: Аномалии зубных рядов Аномалии положения зубов Аномалии размера и формы зуба Костная резорбция Нарушение прикуса *Нарушения развития челюстей

Дакаев Азамат Хусайнович: портфолио (2)

    Помогите другим сделать правильный выбор — оставьте свой отзыв о докторе
    Написать отзыв

    Услуги стоматолога в других клиниках

    Терапевтическая стоматология
    Лечение кариеса от 3 500 ₽ до 14 500 ₽
    Лечение пульпита от 5 000 ₽ до 35 000 ₽
    Еще услуги
    Ортодонтия
    Установка брекетов от 10 000 ₽ до 400 000 ₽
    Снятие брекетов от 530 ₽ до 42 000 ₽
    Еще услуги