Стоматолог Сдобнова Елена Викторовна — цены, отзывы, стаж — Принимает в Москве

Сдобнова Елена Викторовна

Сдобнова Елена Викторовна - фотография
стоматолог-терапевт
Стаж 32 года
Сдобнова Елена Викторовна принимает в «Клиника КРАФТВЭЙ» в Москве. Стаж 32 года. Специализируется на терапии, по которой клиника оказывает 27 услуг. Имеет 3 работы до/после в портфолио. Для уточнения дополнительной информации о специалисте или записи на прием можно позвонить по телефону
+7 (495)Показать телефон
. Также 32top представляет форму онлайн расписания, через которую можно записаться к специалисту на свободную дату и время.

Где принимает:

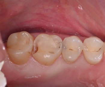
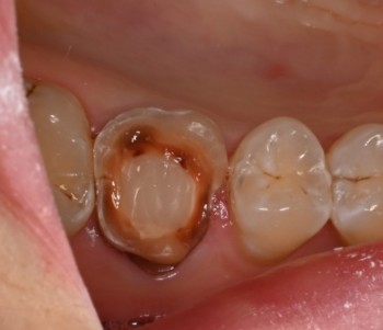
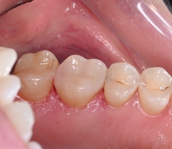
3 работы в портфолио
Опыт 32 года

Отзывы о враче Сдобнова Елена Викторовна

Почему нашим отзывам можно доверять?
15 февраля 2022 г.
1 2 3 4 5
Я пришла в эту клинику в 2002 году и это любовь навсегда. У меня все тот же любимый врач Сдобнова Елена, профессионал и перфекционист своего дела. Ни с одним зубом, ни с одной пломбой я не возвращалась чтобы переделать, добавить к этому заботу и отношение и для меня это лучшая клиника в Москве. На глазах этой клиники проходит вся моя жизнь, это удивительно, все врачи и администраторы те же, это очень приятно и комфортно находиться в стенах уже почти дома.
Спасибо большое за отзыв! Нам очень приятно, что вы так высоко оцениваете работу наших врачей!
    Помогите другим сделать правильный выбор — оставьте свой отзыв о докторе
    Написать отзыв

    Услуги врача (14)

    Терапевтическая стоматология
    Лечение кариеса
    от 7 900 ₽ за 1 зуб
    Лечение кариеса ICON
    от 12 000 ₽ за 1 зуб
    Лечение пульпита
    от 45 800 ₽ за 1 зуб
    Еще услуги
    Все цены носят ознакомительный характер. Точную цену вы сможете получить только после консультации специалиста.
    Звоните по телефону:
    +7 (495)Показать телефон

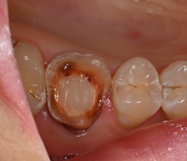
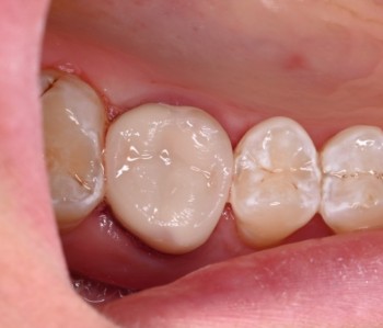
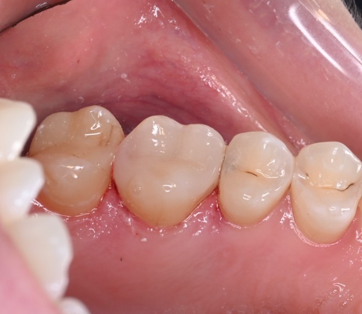
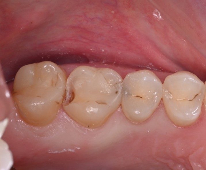
    Сдобнова Елена Викторовна: портфолио (3)