Стоматолог Колосовски Анастасия Игоревна — цены, отзывы, стаж — Принимает в Москве

Колосовски Анастасия Игоревна

Колосовски Анастасия Игоревна - фотография
стоматолог-ортодонт
Стаж 7 лет
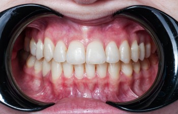
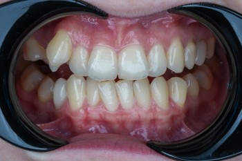
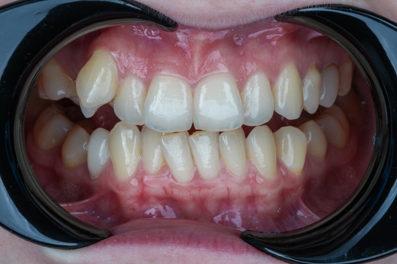
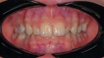
Колосовски Анастасия Игоревна принимает в «Стоматология СИСТЕМА» в Москве. Стаж 7 лет. Специализируется на ортодонтии, по которой клиника оказывает 7 услуг. Имеет 6 работ до/после в портфолио. Квалификация специалиста подтверждена 14 лицензиями, сертификатами и наградами. Также 32top представляет форму онлайн расписания, через которую можно записаться к специалисту на свободную дату и время.

Где принимает:

Опыт 7 лет
14 сертификатов
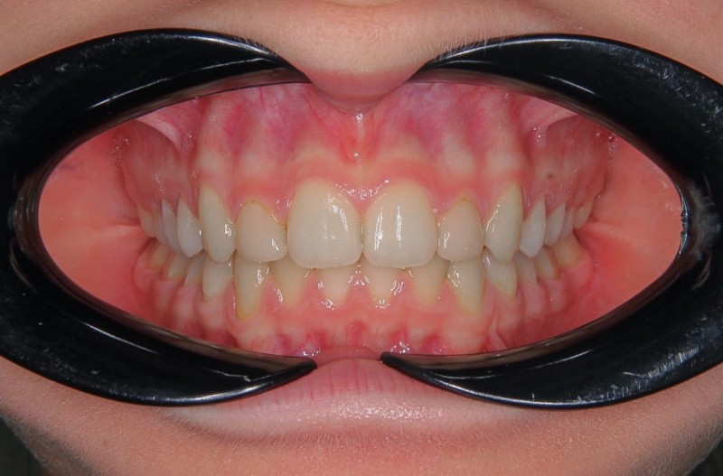
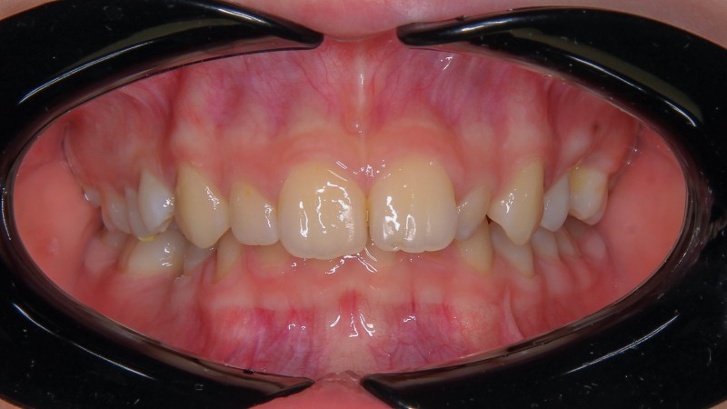
6 работ в портфолио

Колосовски Анастасия Игоревна: портфолио (6)

    Помогите другим сделать правильный выбор — оставьте свой отзыв о докторе
    Написать отзыв

    Услуги стоматолога в других клиниках

    Ортодонтия
    Установка брекетов от 10 000 ₽ до 400 000 ₽
    Снятие брекетов от 530 ₽ до 42 000 ₽
    Еще услуги