Стоматолог Лобкова (Лобода) Анастасия Сергеевна — цены, отзывы, стаж — Принимает в Москве

Лобкова (Лобода) Анастасия Сергеевна

Лобкова (Лобода) Анастасия Сергеевна - фотография
стоматолог-терапевт
стоматолог-эндодонтист
Стаж 22 года
Лобкова (Лобода) Анастасия Сергеевна принимает в «Стоматология ДОМОДЕНТ» в Москве. Стаж 22 года. Специализируется на терапии и эндодонтическом лечении, по которым клиника оказывает 23 услуги. Имеет 5 работ до/после в портфолио. Квалификация специалиста подтверждена 28 лицензиями, сертификатами и наградами. Для уточнения дополнительной информации о специалисте или записи на прием можно позвонить по телефону
+7 (495)Показать телефон
.

Где принимает:

Опыт 22 года
5 работ в портфолио
28 сертификатов
    Помогите другим сделать правильный выбор — оставьте свой отзыв о докторе
    Написать отзыв

    Награды

    2021 г. — Благодарственное письмо от главы городского округа Домодедово


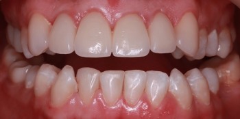
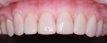
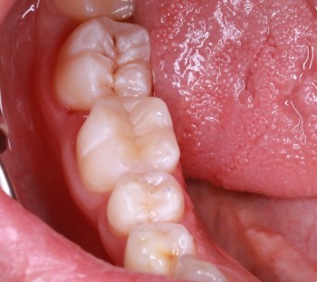
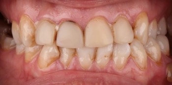
    Лобкова (Лобода) Анастасия Сергеевна: портфолио (5)

    Услуги стоматолога в других клиниках

    Терапевтическая стоматология
    Лечение кариеса от 3 500 ₽ до 14 500 ₽
    Лечение пульпита от 5 000 ₽ до 35 000 ₽
    Еще услуги