Стоматолог Музыченко Людмила Юрьевна — цены, отзывы, стаж — Принимает в Москве

Музыченко Людмила Юрьевна

Музыченко Людмила Юрьевна - фотография
стоматолог-ортодонт
Стаж 13 лет
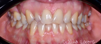
Музыченко Людмила Юрьевна принимает в «Стоматологическая клиника ЭКСТРОДЕНТ» в Ивантеевке. Стаж 13 лет. Специализируется на ортодонтии, по которой клиника оказывает 6 услуг. Имеет 5 работ до/после в портфолио. Квалификация специалиста подтверждена 6 лицензиями, сертификатами и наградами. Также 32top представляет форму онлайн расписания, через которую можно записаться к специалисту на свободную дату и время.

Где принимает:

Опыт 13 лет
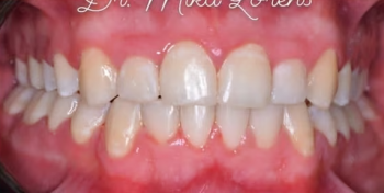
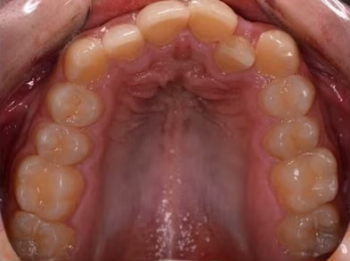
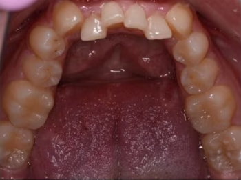
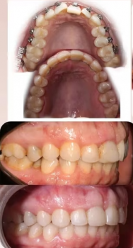
5 работ в портфолио
6 сертификатов

Музыченко Людмила Юрьевна: портфолио (5)

    Помогите другим сделать правильный выбор — оставьте свой отзыв о докторе
    Написать отзыв

    Услуги стоматолога в других клиниках

    Ортодонтия
    Установка брекетов от 10 000 ₽ до 400 000 ₽
    Снятие брекетов от 530 ₽ до 42 000 ₽
    Еще услуги