Стоматолог Карапетян Марианна Вардановна — цены, отзывы, стаж — Принимает в Москве

Карапетян Марианна Вардановна

Карапетян Марианна Вардановна - фотография
стоматолог-терапевт
стоматолог-эндодонтист
Стаж 10 лет
Карапетян Марианна Вардановна принимает в «Центр семейной стоматологии ДЕНТАЛ ИМПЛАНТ» в Москве. Стаж 10 лет. Специализируется на терапии и эндодонтическом лечении, по которым клиника оказывает 19 услуг. Имеет 2 работы до/после в портфолио. Для уточнения дополнительной информации о специалисте или записи на прием можно позвонить по телефону
+7 (495)Показать телефон
.

Где принимает:

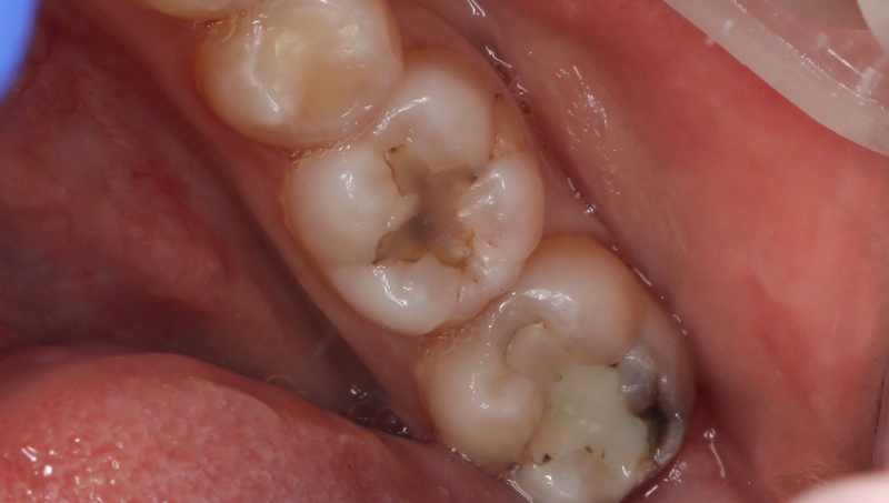
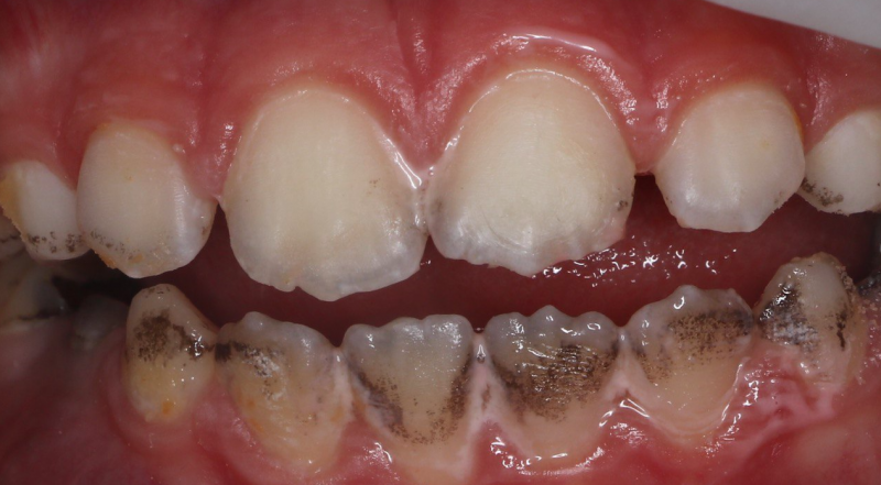
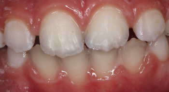
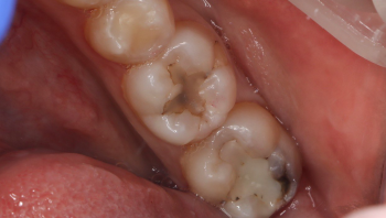
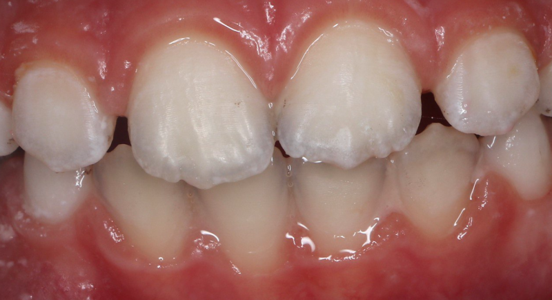
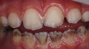
2 работы в портфолио
Опыт 10 лет
    Помогите другим сделать правильный выбор — оставьте свой отзыв о докторе
    Написать отзыв

    Карапетян Марианна Вардановна: портфолио (2)

    Услуги стоматолога в других клиниках

    Терапевтическая стоматология
    Лечение кариеса от 3 500 ₽ до 14 500 ₽
    Лечение пульпита от 5 000 ₽ до 35 000 ₽
    Еще услуги