Стоматолог Глухова Валентина Михайловна — цены, отзывы, стаж — Принимает в Москве

Глухова Валентина Михайловна

Глухова Валентина Михайловна - фотография
стоматолог-терапевт
стоматолог-эндодонтист
Стаж 30 лет
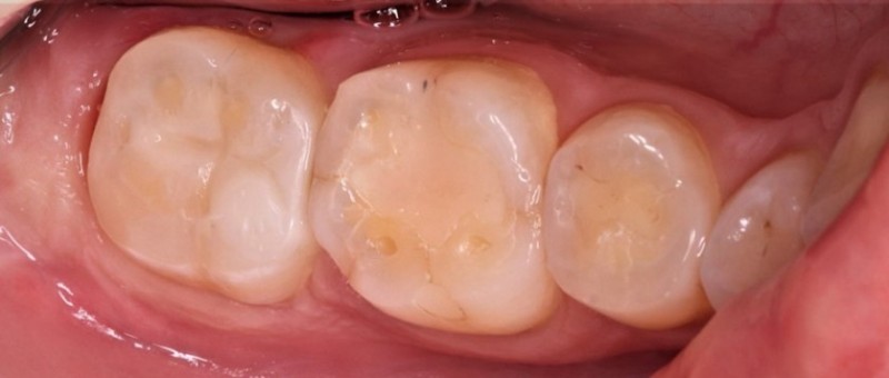
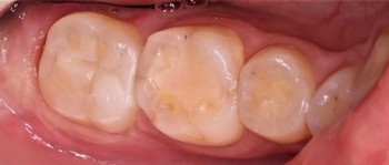
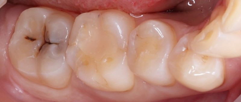
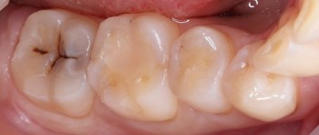
Глухова Валентина Михайловна принимает в «Стоматология ДОМОДЕНТ» в Домодедово. Стаж 30 лет. Специализируется на терапии и эндодонтическом лечении, по которым клиника оказывает 8 услуг. Имеет 2 работы до/после в портфолио. Квалификация специалиста подтверждена 16 лицензиями, сертификатами и наградами. Для уточнения дополнительной информации о специалисте или записи на прием можно позвонить по телефону
+7 (495)Показать телефон
.

Где принимает:

2 работы в портфолио
16 сертификатов
Опыт 30 лет

Глухова Валентина Михайловна: портфолио (2)

    Помогите другим сделать правильный выбор — оставьте свой отзыв о докторе
    Написать отзыв

    Услуги стоматолога в других клиниках

    Терапевтическая стоматология
    Лечение кариеса от 3 500 ₽ до 14 500 ₽
    Лечение пульпита от 5 000 ₽ до 35 000 ₽
    Еще услуги