Стоматолог Доброва Ирина Игоревна — цены, отзывы, стаж — Принимает в Москве

Доброва Ирина Игоревна

Доброва Ирина Игоревна - фотография
стоматолог-ортодонт
гнатолог
Стаж 20 лет
врач высшей категории
Доброва Ирина Игоревна принимает в «Стоматологическая клиника ТРИЛОГИЯ» в Москве. Врач высшей категории, стаж 20 лет. Специализируется на ортодонтии и гнатологии, по которым клиника оказывает 8 услуг. Имеет 5 работ до/после в портфолио. Квалификация специалиста подтверждена 13 лицензиями, сертификатами и наградами. Для уточнения дополнительной информации о специалисте или записи на прием можно позвонить по телефону
+7 (495)Показать телефон
.

Где принимает:

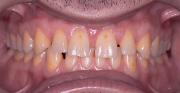
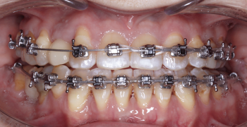
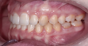
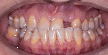
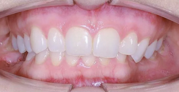
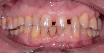
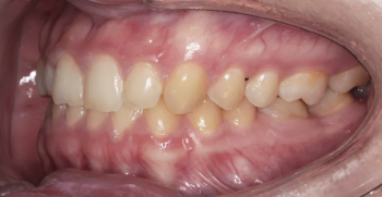
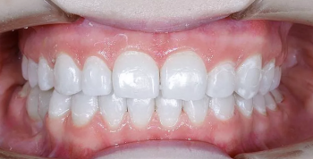
5 работ в портфолио
Врач высшей категории
Опыт 20 лет
13 сертификатов

Доброва Ирина Игоревна: портфолио (5)

    Помогите другим сделать правильный выбор — оставьте свой отзыв о докторе
    Написать отзыв

    Услуги стоматолога в других клиниках

    Ортодонтия
    Установка брекетов от 10 000 ₽ до 400 000 ₽
    Снятие брекетов от 530 ₽ до 42 000 ₽
    Еще услуги