Стоматолог Лушанин Михаил Сергеевич — цены, отзывы, стаж — Принимает в Москве

Лушанин Михаил Сергеевич

Лушанин Михаил Сергеевич - фотография
стоматолог-хирург
стоматолог-имплантолог
челюстно-лицевой хирург
Стаж 18 лет
врач высшей категории, главный врач
Лушанин Михаил Сергеевич принимает в «ЦЕНТР СЕМЕЙНОЙ СТОМАТОЛОГИИ» в Москве. Главный врач, врач высшей категории, стаж 18 лет. Специализируется на хирургии, имплантологии и челюстно-лицевой хирургии, по которым клиника оказывает 18 услуг. Квалификация специалиста подтверждена 30 лицензиями, сертификатами и наградами. Также 32top представляет форму онлайн расписания, через которую можно записаться к специалисту на свободную дату и время.

Где принимает:

30 сертификатов
1 работа в портфолио
Врач высшей категории
Главный врач
Опыт 18 лет

О стоматологе

Лушанин Михаил Сергеевич - главный врач клиники.

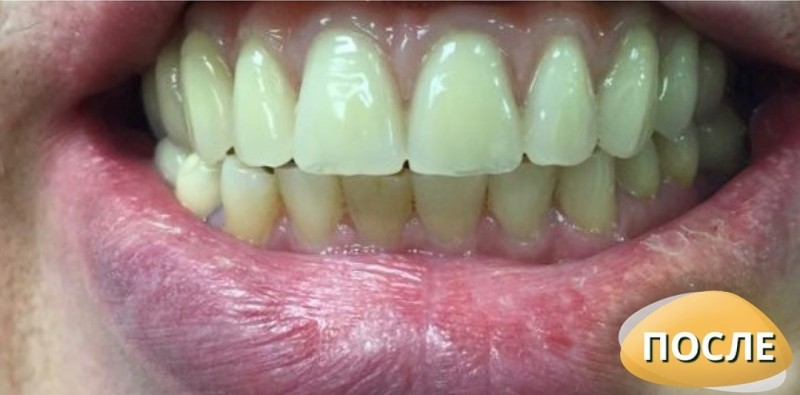
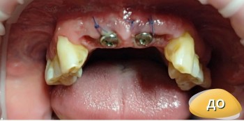
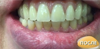
Лушанин Михаил Сергеевич: портфолио (1)

    Помогите другим сделать правильный выбор — оставьте свой отзыв о докторе
    Написать отзыв

    Услуги стоматолога в других клиниках

    Хирургическая стоматология
    Удаление зубов от 1 150 ₽ до 25 000 ₽
    Удаление кисты и гранулемы зуба от 600 ₽ до 48 500 ₽
    Еще услуги