Стоматолог Краснова Елена Владимировна — цены, отзывы, стаж — Принимает в Москве

Краснова Елена Владимировна

Краснова Елена Владимировна - фотография
стоматолог-терапевт
Стаж 21 год
Краснова Елена Владимировна принимает в «Стоматологическая клиника ФОРУС ДЕНТ» в Москве. Стаж 21 год. Специализируется на терапии, по которой клиника оказывает 4 услуги. Имеет 3 работы до/после в портфолио. Для уточнения дополнительной информации о специалисте или записи на прием можно позвонить по телефону
+7 (495)Показать телефон
.

Где принимает:

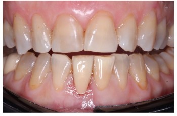
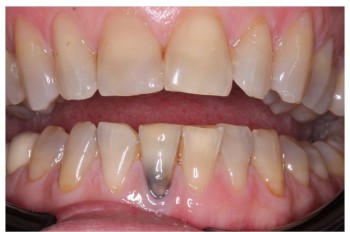
3 работы в портфолио
Опыт 21 год
    Помогите другим сделать правильный выбор — оставьте свой отзыв о докторе
    Написать отзыв

    Краснова Елена Владимировна: портфолио (3)

    Услуги стоматолога в других клиниках

    Терапевтическая стоматология
    Лечение кариеса от 3 500 ₽ до 14 500 ₽
    Лечение пульпита от 5 000 ₽ до 35 000 ₽
    Еще услуги