Стоматолог Тарасова Екатерина Александровна — цены, отзывы, стаж — Принимает в Москве

Тарасова Екатерина Александровна

Тарасова Екатерина Александровна - фотография
стоматолог-ортодонт
Стаж 8 лет
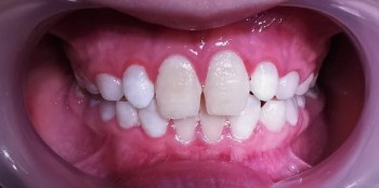
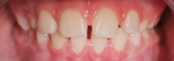
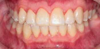
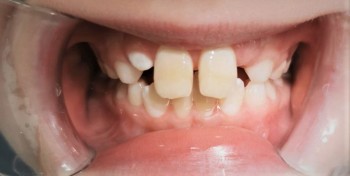
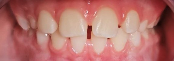
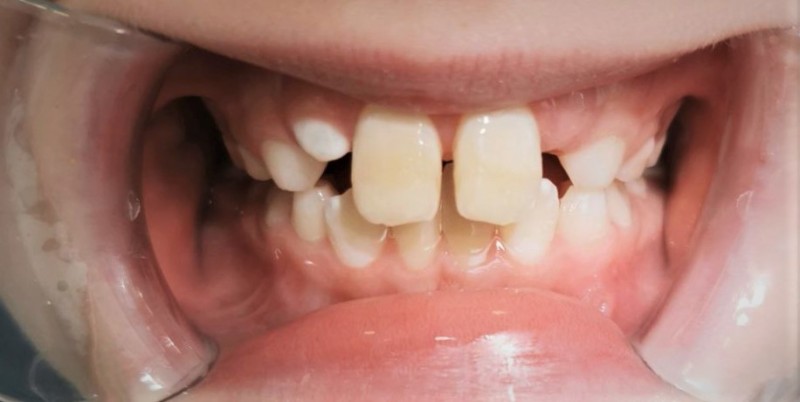
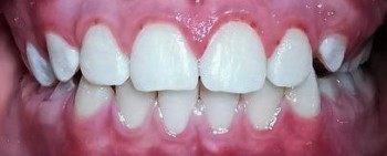
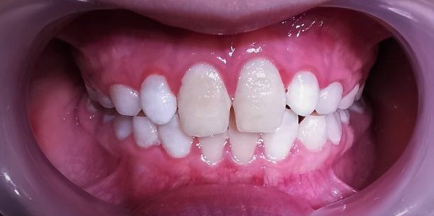
Тарасова Екатерина Александровна принимает в «Медицинский центр СТОМЕД» в Люберцах. Стаж 8 лет. Специализируется на ортодонтии, по которой клиника оказывает 11 услуг. Имеет 3 работы до/после в портфолио. Для уточнения дополнительной информации о специалисте или записи на прием можно позвонить по телефону
+7 (499)Показать телефон
.

Где принимает:

Опыт 8 лет
3 работы в портфолио
    Помогите другим сделать правильный выбор — оставьте свой отзыв о докторе
    Написать отзыв

    Услуги врача (13)

    Ортодонтия
    Установка брекетов
    от 104 000 ₽ до 112 000 ₽ за 1 челюсть
    Снятие брекетов
    от 12 600 ₽ до 49 400 ₽ за 1 челюсть
    Установка элайнеров
    от 121 400 ₽ за обе челюсти
    Еще услуги
    Все цены носят ознакомительный характер. Точную цену вы сможете получить только после консультации специалиста.
    Звоните по телефону:
    +7 (499)Показать телефон

    Тарасова Екатерина Александровна: портфолио (3)

    Акции и скидки клиники СТОМЕД (2)