Стоматолог Белая Оксана Вадимовна — цены, отзывы, стаж — Принимает в Москве

Белая Оксана Вадимовна

Белая Оксана Вадимовна - фотография
стоматолог-терапевт
Стаж 29 лет
Белая Оксана Вадимовна принимает в «Медицинский центр СТОМЕД» в Люберцах. Стаж 29 лет. Специализируется на терапии, по которой клиника оказывает 20 услуг. Имеет 4 работы до/после в портфолио. Для уточнения дополнительной информации о специалисте или записи на прием можно позвонить по телефону
+7 (499)Показать телефон
.

Где принимает:

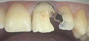
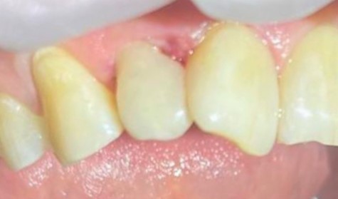
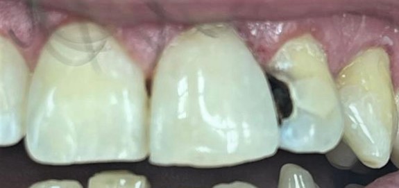
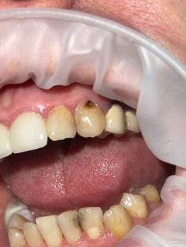
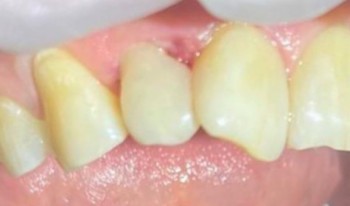
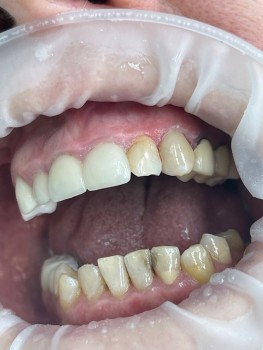
4 работы в портфолио
Опыт 29 лет
    Помогите другим сделать правильный выбор — оставьте свой отзыв о докторе
    Написать отзыв

    Услуги врача (15)

    Терапевтическая стоматология
    Лечение кариеса
    от 7 700 ₽ до 10 300 ₽ за 1 зуб
    Лечение кариеса ICON
    Лечение пульпита
    от 1 800 ₽ за 1 зуб
    Еще услуги
    Все цены носят ознакомительный характер. Точную цену вы сможете получить только после консультации специалиста.
    Звоните по телефону:
    +7 (499)Показать телефон

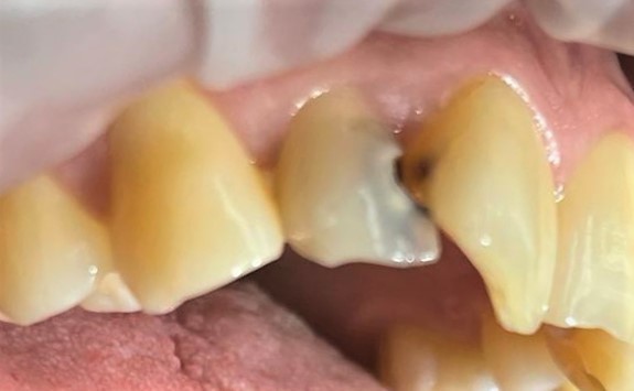
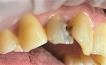
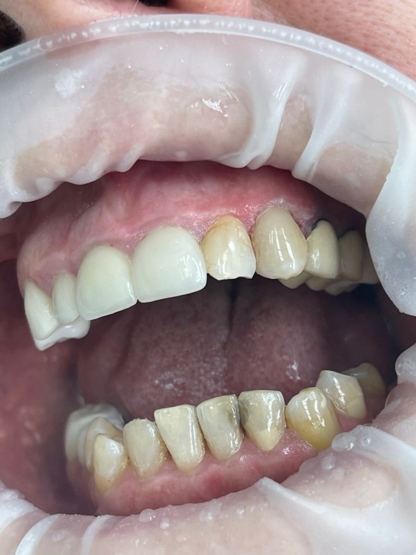
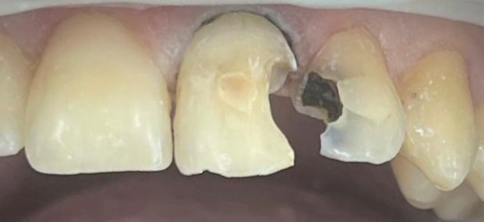
    Белая Оксана Вадимовна: портфолио (4)

    Акции и скидки клиники СТОМЕД (2)